×
Close
Login
Home
SCI Abstract
Library D
Events & Partner
WeMed
MDLA Events Platform
Events
Media Partners
Educational Partner
User Tools
FAQ/USER GUIDE
Language
English
中文/ Chinese
French
Português
Español
Arabic
Russian
Contact Us
×
Close
mdla_1
mdla_2
mdla_3
mdla_4
mdla_5
mdla_6
Categories
Medicine, Research & Experimental
17190
Global Medical University
4983
Allergy
1699
Anatomy & Morphology
1528
Andrology
379
Anesthesia & Intensive Care
1224
Anesthesiology
5240
Audiology & Speech-Language Pathology
311
Behavioral Sciences
104
Biochemical Research Methods
6740
Biochemistry & Molecular Biology
28859
Biodiversity Conservation
294
Biology
8107
Biophysics
7956
Biotechnology & Applied Microbiology
8053
Cardiac & Cardiovascular Systems
30112
Cardiovascular & Respiratory Systems
1348
Cell & Tissue Engineering
664
Cell Biology
10762
Chemistry, Analytical
4154
Chemistry, Applied
10754
Chemistry, Medicinal
8448
Chemistry, Multidisciplinary
18249
Clinical Immunology & Infectious Disease
397
Clinical Medicine
8736
Clinical Neurology
15936
Clinical Psychology & Psychiatry
1251
Critical Care Medicine
3057
Dentistry, Oral Surgery & Medicine
12739
Dermatology
7353
Developmental Biology
6790
Ecology
631
Education, Scientific Disciplines
1919
Emergency Medicine
3858
Endocrinology, Metabolism & Nutrition
23207
Engineering, Biomedical
3585
Entomology
445
Environmental Medicine & Public Health
4578
Evolutionary Biology
252
Gastroenterology & Hepatology
11541
General & Internal Medicine
6783
Genetics & Heredity
14556
Geriatrics & Gerontology
4845
Gerontology
338
Health Care Sciences & Services
15479
Health Policy & Services
613
Hematology
5371
Immunology
24181
Infectious Diseases
13438
Integrative & Complementary Medicine
2805
Medical Ethics
1194
Medical Informatics
2139
Medical Laboratory Technology
419
Medicine, General & Internal
43503
Medicine, Legal
485
Microbiology
22533
Mycology
0
Nanoscience & Nanotechnology
5019
Neuroimaging
1248
Neurology
4363
Neurosciences
38345
Nursing
9258
Nutrition & Dietetics
7660
Obstetrics & Gynecology
7932
Oncology
50751
Ophthalmology
9334
Optics
4072
Orthopedics
11209
Orthopedics, Rehabilitation & Sports Medicine
1702
Otolaryngology
1490
Otorhinolaryngology
4683
Parasitology
1066
Pathology
4781
Pediatrics
20799
Peripheral Vascular Disease
4510
Pharmacology & Pharmacy
33681
Pharmacology/Toxicology
11854
Physiology
8669
Polymer Science
511
Primary Health Care
791
Psychiatry
18467
Psychology
5005
Psychology, Applied
92
Psychology, Biological
329
Psychology, Clinical
786
Psychology, Developmental
228
Psychology, Educational
143
Psychology, Experimental
133
Psychology, Mathematical
0
Psychology, Multidisciplinary
1576
Psychology, Psychoanalysis
30
Psychology, Social
112
Public Health & Health Care Science
2167
Public, Environmental & Occupational Health
26484
Quantum Science & Technology
0
Radiology, Nuclear Medicine & Imaging
11918
Radiology, Nuclear Medicine & Medical Imaging
7746
Rehabilitation
2873
Remote Sensing
0
Reproductive Biology
2697
Reproductive Medicine
1178
Research/Laboratory Medicine & Medical Technology
3841
Respiratory System
6995
Rheumatology
5660
Social Sciences, Biomedical
1150
Substance Abuse
2647
Surgery
32537
Toxicology
4177
Transplantation
931
Tropical Medicine
300
Urology & Nephrology
12420
Veterinary Sciences
35
Virology
2369
Zoology
0
Channels
CLINICAL AND EXPERIMENTAL MEDICINE
548
COLD SPRING HARBOR PERSPECTIVES IN MEDICINE
126
CTS-CLINICAL AND TRANSLATIONAL SCIENCE
183
DRUG DELIVERY AND TRANSLATIONAL RESEARCH
529
EBIOMEDICINE
1247
EMBO MOLECULAR MEDICINE
113
EPMA JOURNAL
126
JOURNAL OF CELLULAR AND MOLECULAR MEDICINE
477
JOURNAL OF MOLECULAR MEDICINE-JMM
341
MOLECULAR ASPECTS OF MEDICINE
170
NATURE MEDICINE
1197
NATURE REVIEWS DISEASE PRIMERS
116
NPJ VACCINES
426
STEM CELL RESEARCH & THERAPY
713
THERANOSTICS
20
ADVANCES IN EXPERIMENTAL MEDICINE AND BIOLOGY
99
BIOMARKERS IN MEDICINE
31
BIOMEDICAL PAPERS-OLOMOUC
64
BRAZILIAN JOURNAL OF MEDICAL AND BIOLOGICAL RESEARCH
0
CLINICAL TRIALS
49
CONTEMPORARY CLINICAL TRIALS
0
EUROPEAN JOURNAL OF CLINICAL INVESTIGATION
170
EUROPEAN JOURNAL OF MEDICAL RESEARCH
730
EXPERIMENTAL BIOLOGY AND MEDICINE
116
INNATE IMMUNITY
17
KAOHSIUNG JOURNAL OF MEDICAL SCIENCES
104
MOLECULAR MEDICINE
400
NEUROMODULATION
157
STATISTICS IN MEDICINE
238
VIRCHOWS ARCHIV
624
INDIAN JOURNAL OF MEDICAL RESEARCH
29
WORLD JOURNAL OF TRADITIONAL CHINESE MEDICINE
110
VACCINE: X
0
ADVANCED BIOMEDICAL RESEARCH
20
BIOMARKER INSIGHTS
14
BIOMEDICAL RESEARCH AND THERAPY
167
CLINICAL TEACHER
92
COLD SPRING HARBOR MOLECULAR CASE STUDIES
141
DISEASES
149
EUROPEAN JOURNAL OF TRANSLATIONAL MYOLOGY
189
GALEN MEDICAL JOURNAL
103
INDONESIAN BIOMEDICAL JOURNAL
30
INTERACTIVE JOURNAL OF MEDICAL RESEARCH
152
INTERNATIONAL JOURNAL OF BIOMEDICINE
6175
INTERNATIONAL JOURNAL OF MOLECULAR AND CELLULAR MEDICINE
7
PRECISION MEDICAL SCIENCES
5
JOURNAL OF BONE AND MINERAL METABOLISM
289
JOURNAL OF CARDIOVASCULAR TRANSLATIONAL RESEARCH
387
SCI Abstract
search
ALL
RECOMMENDED
+
Evolving trends and clinical-pathological correlations in renal cell carcinoma surgery: a decade-long study at Peking University First Hospital
This study aimed to comprehensively delineate the clinical characteristics, surgical interventions, and evolving trends ov...
Clinical And Experimental Medicine
comment
0
thumb_up
0
From cardiac injury to omics signatures: a narrative review on biomarkers in septic cardiomyopathy
Septic cardiomyopathy (SCM) is a frequent and underdiagnosed complication of sepsis that contributes significantly to pati...
Clinical And Experimental Medicine
comment
0
thumb_up
0
The association between 4-HPR-mediated LCN2 suppression and reduced intestinal cell senescence in ulcerative colitis
Ulcerative colitis is a type of inflammatory bowel disease that can significantly impact patients’ life, leading to ...
Clinical And Experimental Medicine
comment
0
thumb_up
0
Efficacy of combination chelation with deferasirox and deferiprone in children with beta-thalassemia major: an audit from a unit in the developing world
Effective iron chelation is crucial for preventing morbidity and mortality in transfusion-dependent beta-thalassemia major...
Clinical And Experimental Medicine
comment
0
thumb_up
0
Prevalence and outcome of VEXAS syndrome in unrelated hematopoietic cell transplantation for bone marrow failure
VEXAS syndrome (vacuoles, E1 enzyme, X-linked, autoinflammatory, and somatic) is a recently identified clonal disorder cau...
Clinical And Experimental Medicine
comment
0
thumb_up
0
Therapeutic options for extramedullary involvement in multiple myeloma
Extramedullary involvement (extramedullary disease, EMD) is an aggressive subtype of multiple myeloma (MM) characterized b...
Clinical And Experimental Medicine
comment
0
thumb_up
0
Diagnostic utility and clinical relevance of anti-MCV and anti-CCP antibodies in rheumatoid arthritis
Rheumatoid arthritis (RA) is a persistent autoimmune disorder where serological biomarkers play a crucial role in diagnosi...
Clinical And Experimental Medicine
comment
0
thumb_up
0
SLFN11, far from being limited to responding to cancer DNA damage
SLFN11, a member of the evolutionarily conserved SLFN gene family, is an interferon-stimulated early response gene. This r...
Clinical And Experimental Medicine
comment
0
thumb_up
0
Impact of exercise on immune cell infiltration in muscle tissue: implications for muscle repair and chronic disease
Exercise has long been recognized for its systemic health benefits, including modulation of the immune system. Contemporar...
Clinical And Experimental Medicine
comment
0
thumb_up
0
The shared genetic etiology of autoimmune disorders and interstitial lung disease: insights from large-scale genome-wide cross-trait analysis
Autoimmune diseases often co-occur with interstitial lung disease (ILD), and ILD is associated with patient prognosis. Res...
Clinical And Experimental Medicine
comment
0
thumb_up
0
Elevated expression of transferrin receptor-1 in pancreatic cancer: clinical implications and prognostic significance
Many advanced-stage pancreatic cancers are fatal, highlighting the need for solid prognostic indicators. This study evalua...
Clinical And Experimental Medicine
comment
0
thumb_up
0
The dual burden of tuberculosis and diabetes mellitus: an epidemiological correlation
This study examined the association between diabetes mellitus and tuberculosis (TB) in a cohort of 200TB-positive patients...
Clinical And Experimental Medicine
comment
0
thumb_up
0
Integrating multi-omics approaches in acute myeloid leukemia (AML): Advancements and clinical implications
Acute myeloid leukemia (AML) is a highly heterogeneous and aggressive hematologic malignancy characterized by clonal proli...
Clinical And Experimental Medicine
comment
0
thumb_up
0
Comprehensive analysis of KRT18 as a novel prognostic biomarker and potential target in lung adenocarcinoma
Background: The expression characteristics of Keratin 18 (KRT18) in lung adenocarcinoma (LUAD) remain incompletely elucida...
Clinical And Experimental Medicine
comment
0
thumb_up
0
Implementation effects of quality control circle in improving medication adherence of outpatient helicobacter pylori patients
To evaluate the implementation effects of problem-solving Quality Control Circle (QCC) activities on medication adherence ...
Clinical And Experimental Medicine
comment
0
thumb_up
0
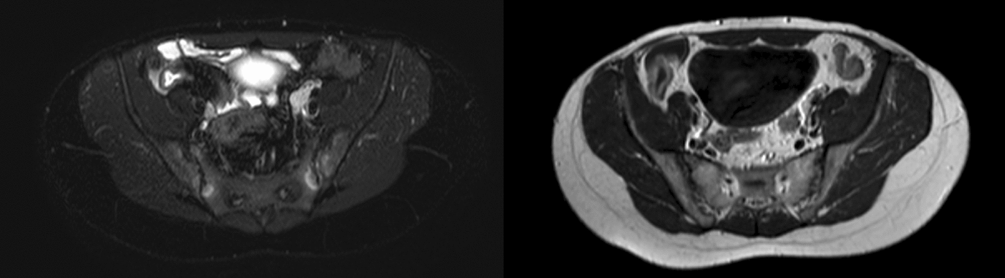
Prevalence of sacroiliitis on magnetic resonance enterography in Crohn’s disease and its association with intestinal findings: a monocentric observational cross-sectional study
Magnetic resonance enterography (MRE) is recommended for the assessment of small intestine alterations in Crohn’s di...
Clinical And Experimental Medicine
comment
0
thumb_up
0
YY1-mediated DUXAP8 facilitates HCC progression via modulating DEPDC1 expression
The long noncoding RNA DUXAP8 has been implicated in the progression of various malignancies, including hepatocellular car...
Clinical And Experimental Medicine
comment
0
thumb_up
0
Activation of RHO-GTPase gene pattern correlates with adverse clinical outcome and immune microenvironment in clear cell renal cell carcinoma
Clear cell renal cell carcinoma (ccRCC), the most prevalent renal cancer subtype, is frequently associated with poor progn...
Clinical And Experimental Medicine
comment
0
thumb_up
0
Prediction of vedolizumab efficacy in ulcerative colitis: a nomogram incorporating pathological feature and serological marker
Vedolizumab (VDZ) is a humanized, gut-selective biologic used in the treatment of ulcerative colitis (UC). However, data o...
Clinical And Experimental Medicine
comment
0
thumb_up
0
The value of plasma sCD25 in diagnosis, therapeutic efficacy, and prognosis of acute myeloid leukemia
This study aims to investigate the clinical importance of soluble CD25 (sCD25) levels in diagnosing acute myeloid leukemia...
Clinical And Experimental Medicine
comment
0
thumb_up
0
Efficacy and safety analysis of atezolizumab continuation beyond progression in extensive-stage small cell lung cancer
The advent of immune checkpoint inhibitors (ICIs) has revolutionized the treatment landscape for extensive-stage small cel...
Clinical And Experimental Medicine
comment
0
thumb_up
0
The relationship between telomere length and aging-related diseases
The intensifying global phenomenon of an aging population has spurred a heightened emphasis on studies on aging and disord...
Clinical And Experimental Medicine
comment
0
thumb_up
0
Macrophages in graft-versus-host disease (GVHD): dual roles as therapeutic tools and targets
Graft-versus-host disease remains one of the most formidable barriers to the complete success of hematopoietic stem cell t...
Clinical And Experimental Medicine
comment
0
thumb_up
0
Periostin and rheumatic diseases: early insights from a systematic review and meta-analysis
Periostin regulates angiogenesis, inflammation, and fibrosis, key processes in the pathophysiology of rheumatic diseases (...
Clinical And Experimental Medicine
comment
0
thumb_up
0
The double-edged sword of lncRNAs in rheumatoid arthritis: from controlling the disease to its progress
Rheumatoid arthritis (RA) is a chronic autoimmune disease characterized by chronic inflammatory responses in the joints, s...
Clinical And Experimental Medicine
comment
0
thumb_up
0
Antiphospholipid syndrome in patients with fetal death: a prospective longitudinal cohort study
To investigate the causes of fetal death, focusing on maternal antiphospholipid syndrome diagnosis, and to follow the pati...
Clinical And Experimental Medicine
comment
0
thumb_up
0
High-altitude pulmonary hypertension: a comprehensive review of mechanisms and management
High-altitude pulmonary hypertension (HAPH) is characterized by an increase in pulmonary artery pressure due to prolonged ...
Clinical And Experimental Medicine
comment
0
thumb_up
0
VEGF-A in COVID-19: a systematic review and meta-analytical approach to its prognostic value
Numerous studies have reported vascular endothelial growth factor A (VEGF-A) has a significant impact on...
Clinical And Experimental Medicine
comment
0
thumb_up
0
CD44v6-mediated regulation of gastric cancer stem cells: a potential therapeutic target
Gastric cancer is the fourth most common cause of cancer-related deaths globally. Cancer stem cells (CSCs) play an essenti...
Clinical And Experimental Medicine
comment
0
thumb_up
0
Predicting sentinel lymph node metastasis in breast cancer: a study based on the SEER database
Sentinel lymph node biopsy (SLNB), a standard surgical procedure for clinically axillary-negative breast cancer patients, ...
Clinical And Experimental Medicine
comment
0
thumb_up
0
Load More
Modal title
×
Modal title
×
Share
Login
Global News and Health Forum
Join Now!
Member Login
Remember me
Forgot password?
Or using
Linkedin