×
Close
Login
Home
SCI Abstract
Library D
Community
Events
Events & Partner
WeMed
Media Partners
Educational Partner
User Tools
FAQ/USER GUIDE
Language
English
中文/ Chinese
Contact Us
×
Close
mdla_1
mdla_2
mdla_3
mdla_4
mdla_5
mdla_6
Categories
Clinical Neurology
15323
Global Medical University
4675
Allergy
1677
Anatomy & Morphology
1528
Andrology
379
Anesthesia & Intensive Care
1173
Anesthesiology
5066
Audiology & Speech-Language Pathology
318
Behavioral Sciences
102
Biochemical Research Methods
6560
Biochemistry & Molecular Biology
27990
Biodiversity Conservation
288
Biology
7862
Biophysics
7417
Biotechnology & Applied Microbiology
7840
Cardiac & Cardiovascular Systems
29030
Cardiovascular & Respiratory Systems
1307
Cell & Tissue Engineering
652
Cell Biology
10656
Chemistry, Analytical
4097
Chemistry, Applied
10107
Chemistry, Medicinal
8277
Chemistry, Multidisciplinary
17656
Clinical Immunology & Infectious Disease
364
Clinical Medicine
8626
Clinical Psychology & Psychiatry
1124
Critical Care Medicine
2892
Dentistry, Oral Surgery & Medicine
12558
Dermatology
7170
Developmental Biology
6575
Ecology
631
Education, Scientific Disciplines
1885
Emergency Medicine
3722
Endocrinology, Metabolism & Nutrition
22325
Engineering, Biomedical
3538
Entomology
427
Environmental Medicine & Public Health
4364
Evolutionary Biology
244
Gastroenterology & Hepatology
11160
General & Internal Medicine
6418
Genetics & Heredity
13913
Geriatrics & Gerontology
4670
Gerontology
338
Health Care Sciences & Services
14912
Health Policy & Services
612
Hematology
5259
Immunology
23089
Infectious Diseases
12947
Integrative & Complementary Medicine
2757
Medical Ethics
1141
Medical Informatics
2078
Medical Laboratory Technology
419
Medicine, General & Internal
41980
Medicine, Legal
457
Medicine, Research & Experimental
16521
Microbiology
21623
Mycology
0
Nanoscience & Nanotechnology
4893
Neuroimaging
1231
Neurology
4138
Neurosciences
36714
Nursing
9021
Nutrition & Dietetics
7477
Obstetrics & Gynecology
7657
Oncology
48808
Ophthalmology
8871
Optics
3913
Orthopedics
10855
Orthopedics, Rehabilitation & Sports Medicine
1622
Otolaryngology
1468
Otorhinolaryngology
4587
Parasitology
993
Pathology
4681
Pediatrics
19780
Peripheral Vascular Disease
4384
Pharmacology & Pharmacy
32444
Pharmacology/Toxicology
11301
Physiology
8273
Polymer Science
500
Primary Health Care
779
Psychiatry
17473
Psychology
4912
Psychology, Applied
95
Psychology, Biological
326
Psychology, Clinical
725
Psychology, Developmental
258
Psychology, Educational
137
Psychology, Experimental
140
Psychology, Mathematical
0
Psychology, Multidisciplinary
1575
Psychology, Psychoanalysis
30
Psychology, Social
112
Public Health & Health Care Science
2087
Public, Environmental & Occupational Health
25472
Quantum Science & Technology
0
Radiology, Nuclear Medicine & Imaging
11474
Radiology, Nuclear Medicine & Medical Imaging
7580
Rehabilitation
2852
Remote Sensing
0
Reproductive Biology
2552
Reproductive Medicine
1134
Research/Laboratory Medicine & Medical Technology
3684
Respiratory System
6793
Rheumatology
5447
Social Sciences, Biomedical
1120
Substance Abuse
2596
Surgery
30997
Toxicology
4140
Transplantation
939
Tropical Medicine
272
Urology & Nephrology
11856
Veterinary Sciences
35
Virology
2366
Zoology
0
Channels
NEUROLOGICAL SCIENCES
1114
Dental Journal of Advance Studies
48
JOURNAL OF BRACHIAL PLEXUS AND PERIPHERAL NERVE INJURY
48
International Journal of Epilepsy
33
ALZHEIMERS & DEMENTIA
156
ALZHEIMERS RESEARCH & THERAPY
385
ANNALS OF NEUROLOGY
181
BIPOLAR DISORDERS
122
BRAIN STIMULATION
0
CEPHALALGIA
100
CURRENT NEUROLOGY AND NEUROSCIENCE REPORTS
199
CURRENT OPINION IN NEUROLOGY
203
EUROPEAN ARCHIVES OF PSYCHIATRY AND CLINICAL NEUROSCIENCE
447
INTERNATIONAL JOURNAL OF STROKE
23
JOURNAL OF NEURODEVELOPMENTAL DISORDERS
133
JOURNAL OF NEUROLOGY
894
LANCET NEUROLOGY
0
MULTIPLE SCLEROSIS JOURNAL
153
NATURE REVIEWS NEUROLOGY
373
NEUROGASTROENTEROLOGY AND MOTILITY
183
NEUROLOGY
2016
NEUROLOGY-NEUROIMMUNOLOGY & NEUROINFLAMMATION
303
NEUROSCIENTIST
20
PSYCHIATRY AND CLINICAL NEUROSCIENCES
51
SLEEP MEDICINE
0
THERAPEUTIC ADVANCES IN NEUROLOGICAL DISORDERS
46
ACTA NEUROLOGICA SCANDINAVICA
112
AMERICAN JOURNAL OF ALZHEIMERS DISEASE AND OTHER DEMENTIAS
19
ANNALS OF INDIAN ACADEMY OF NEUROLOGY
220
CEREBROVASCULAR DISEASES
194
CLINICAL EEG AND NEUROSCIENCE
47
CLINICAL JOURNAL OF PAIN
41
EPILEPSY & BEHAVIOR
0
EPILEPSY RESEARCH
0
EPILEPTIC DISORDERS
47
EUROPEAN NEUROLOGY
116
JOURNAL OF NEUROLOGIC PHYSICAL THERAPY
17
JOURNAL OF NEUROSURGICAL ANESTHESIOLOGY
63
JOURNAL OF PAIN RESEARCH
857
NEURODEGENERATIVE DISEASES
46
NEUROEPIDEMIOLOGY
105
NEUROLOGIST
33
OTOLOGY & NEUROTOLOGY
314
PAIN AND THERAPY
283
PEDIATRIC NEUROLOGY
1
SCHMERZ
94
SEMINARS IN PEDIATRIC NEUROLOGY
147
SPINE
57
STROKE AND VASCULAR NEUROLOGY
181
JOURNAL OF NEUROLOGICAL SURGERY PART A-CENTRAL EUROPEAN NEUROSURGERY
254
JOURNAL OF THE NEUROLOGICAL SCIENCES
51
MULTIPLE SCLEROSIS AND RELATED DISORDERS
1204
NEUROLOGIC CLINICS
67
NEUROMUSCULAR DISORDERS
32
SEMINARS IN NEUROLOGY
225
ZEITSCHRIFT FUR EPILEPTOLOGIE
99
TREMOR AND OTHER HYPERKINETIC MOVEMENTS
71
SOMNOLOGIE
80
AFRICAN JOURNAL OF NEUROLOGICAL SCIENCES
57
BRAIN CIRCULATION
78
BRITISH JOURNAL OF PAIN
26
CASE REPORTS IN NEUROLOGY
133
CLINICAL NEUROPSYCHIATRY
17
DEMENTIA AND GERIATRIC COGNITIVE DISORDERS EXTRA
36
EUROPEAN STROKE JOURNAL
39
INTERVENTIONAL NEUROLOGY
10
IRANIAN JOURNAL OF CHILD NEUROLOGY
117
JOURNAL OF NEUROLOGICAL SURGERY REPORTS
93
JOURNAL OF NEUROSCIENCES IN RURAL PRACTICE
161
JOURNAL OF PEDIATRIC NEUROPSYCHOLOGY
57
MOVEMENT DISORDERS CLINICAL PRACTICE
187
MULTIPLE SCLEROSIS JOURNAL-EXPERIMENTAL TRANSLATIONAL AND CLINICAL
57
NEUROHOSPITALIST
54
NEUROLOGY AND CLINICAL NEUROSCIENCE
69
NEUROLOGY INTERNATIONAL
3
NEUROLOGY-CLINICAL PRACTICE
198
NEURO-ONCOLOGY PRACTICE
24
NEUROGENETICS
142
CURRENT PAIN AND HEADACHE REPORTS
250
NEUROCRITICAL CARE
534
NEURORADIOLOGY
486
SLEEP AND BIOLOGICAL RHYTHMS
187
SCI Abstract
search
ALL
RECOMMENDED
+
Bilateral fornix bodies and posterolateral thalamus ischemia, septum pellucidum cyst
Purpose: Bilateral damage of fornix bodies has been reported in a few cases of brain tumors and in exceptional cases of is...
Neurological Sciences
comment
0
thumb_up
0
Sudoscan® and QSART in the composite autonomic severity scale: complementary approaches to sudomotor assessment in multiple sclerosis
The Quantitative Sudomotor Axon Reflex Test (QSART) is the gold standard for evaluating sudomotor function in the Composit...
Neurological Sciences
comment
0
thumb_up
0
Genotype-guided switch from ravulizumab to satralizumab in aquaporin-4–IgG–positive neuromyelitis optica spectrum disorder: a case of C5 polymorphism-associated ravulizumab resistance
Ethical approval and informed consent Written informed con...
Neurological Sciences
comment
0
thumb_up
0
Needs, experiences, and knowledge of people with primary progressive multiple sclerosis: a scoping review
About 10–15% of people with multiple sclerosis (MS) have a primary progressive disease course (PPMS). The disease is...
Neurological Sciences
comment
0
thumb_up
0
Atypical subacute sclerosing panencephalitis mimicking mitochondrial encephalopathy, lactic acidosis and stroke-like episodes
Raut A, Huy NT (2023) Recrudescence of measles in India: an emerging threat. Pathog Glob Health 117(4):326–327. https://do...
Neurological Sciences
comment
0
thumb_up
0
The value of venous outflow assessment based on multiphase CTA in predicting the prognosis of endovascular therapy for acute ischemic stroke patients
To investigate the predictive value of venous outflow (VO) assessment based on multiphase computed tomography angiography ...
Neurological Sciences
comment
0
thumb_up
0
Peripheral inflammation predicts motor, cognitive, and disease progression in Parkinson’s disease: A 4-year longitudinal study from the PPMI cohorts
This study investigated the associations between peripheral inflammation and motor severity, cognitive function, and disea...
Neurological Sciences
comment
0
thumb_up
0
Association between lesion location and symptoms of restless leg syndrome (RLS) among patients with multiple sclerosis (MS)
Restless legs syndrome (RLS) is a common but under-recognised non-motor symptom in multiple sclerosis (MS), potentially li...
Neurological Sciences
comment
0
thumb_up
0
Heterogeneity of monogenic epilepsy in loci, phenotypes, and treatment approaches
Monogenic epilepsies are a group of rare disorders that manifest in early childhood and are usually associated with neurod...
Neurological Sciences
comment
0
thumb_up
0
Blood pressure variability in the ATACH2 study: evaluating a target range
Blood pressure management after intracerebral hemorrhage (ICH) is a key part of early care to reduce complications and imp...
Neurological Sciences
comment
0
thumb_up
0
MERRF/MELAS overlap syndrome mimicking paradoxical cerebral embolism due to patent foramen ovale
Ng YS, Bindoff LA, Gorman GS, Klopstock T, Kornblum C, Mancuso M, McFarland R, Sue CM, Suomalainen A, Taylor RW, Thorburn ...
Neurological Sciences
comment
0
thumb_up
0
Patent foramen ovale closure versus medical therapy alone in elderly patients with cryptogenic stroke: a systematic review and meta-analysis
Current guideline recommendations from American Heart Association/American Stroke Association (AHA/ASA) strongly favor per...
Neurological Sciences
comment
0
thumb_up
0
Rehabilitation after diagnosis of hydrocephalus in severe acquired brain injury: the unmet need for evidence-based guidelines
Hydrocephalus, defined as an abnormal accumulation of cerebrospinal fluid (CSF) within the brain’s ventricular syste...
Neurological Sciences
comment
0
thumb_up
0
Effectiveness of combined physical therapy and kinesio tape for acute hemiplegic shoulder pain: a retrospective study
Hemiplegic shoulder pain causes reduced quality of life and effects stroke rehabilitation inversely. The purpose of this s...
Neurological Sciences
comment
0
thumb_up
0
Successful treatment with efgartigimod as rescue therapy in acute attack of MOGAD: a case report
Myelin oligodendrocyte glycoprotein (MOG) antibody-associated disease (MOGAD) is an autoimmune inflammatory demyelinating ...
Neurological Sciences
comment
0
thumb_up
0
Neuroinflammation plays a crucial role in the pathogenesis of Parkinson’s disease: a systematic review and meta-analysis of clinical and biomarker evidence
Clarifying whether circulating cytokines differ between individuals with PD and healthy controls may improve understanding...
Neurological Sciences
comment
0
thumb_up
0
Prolonged episodic ataxia associated with a SCN2A variant: intrafamilial phenotypic heterogeneity and adult vestibulo-cerebellar presentation
Author notesIn memory of Halil Onder.Authors and AffiliationsDepartment of Neurology, Etlik City Hospital, Ankara, TurkeyH...
Neurological Sciences
comment
0
thumb_up
0
Efficacy of Transcranial Direct Current Stimulation in Patients with Primary Progressive Aphasia: A Systematic Review and Updated Meta-analysis
Primary progressive aphasia (PPA) is a group of dementias characterized by progressive loss of specific language functions...
Neurological Sciences
comment
0
thumb_up
0
Is mutation status a game-changer for impulse control behaviour in Parkinson's disease?
The GBA1 related Parkinson’s disease (PD) is associated with more severe non-motor symptoms. To date, studies of the...
Neurological Sciences
comment
0
thumb_up
0
Intrathecal dexamethasone for pediatric influenza-associated acute necrotizing encephalitis
Cite this articleMistry, A.J., De Souza, B.J. & Santoro, J.D. Intrathecal dexamethasone for pediatric influenza-associ...
Neurological Sciences
comment
0
thumb_up
0
Converging pathologies in neurodegeneration: the mechanistic interplay between α-Synuclein and Tau in Alzheimer’s and Parkinson’s
Alzheimer’s and Parkinson’s disease are the most prevalent neurodegenerative disorders globally, each characte...
Neurological Sciences
comment
0
thumb_up
0
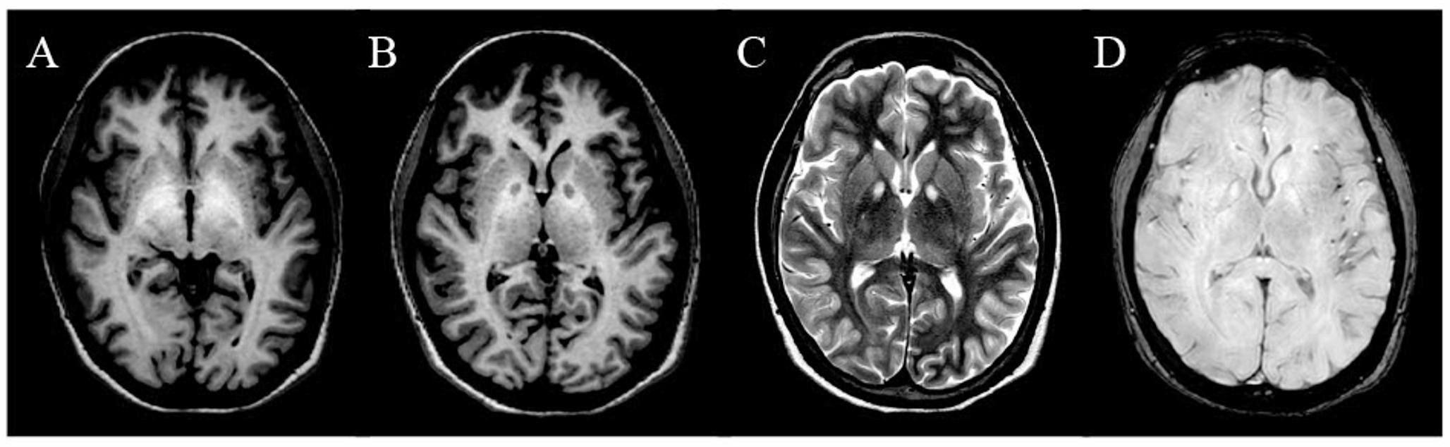
Multimodal imaging reveals intracranial stenosis in a young patient with cryptogenic borderzone stroke
The authors would like to thank Francesca Lolli, Giuseppina Cadau, Leonardo Mippi, Lorena Anticoli Borza, Maria Rita Di Ru...
Neurological Sciences
comment
0
thumb_up
0
Effectiveness of intermittent theta burst stimulation (iTBS) on Post-Stroke motor dysfunction: A Meta-Analysis of randomized controlled trials
This meta-analysis attempted to rigorously delineate the efficacy of intermittent theta burst stimulation (iTBS) as a neur...
Neurological Sciences
comment
0
thumb_up
0
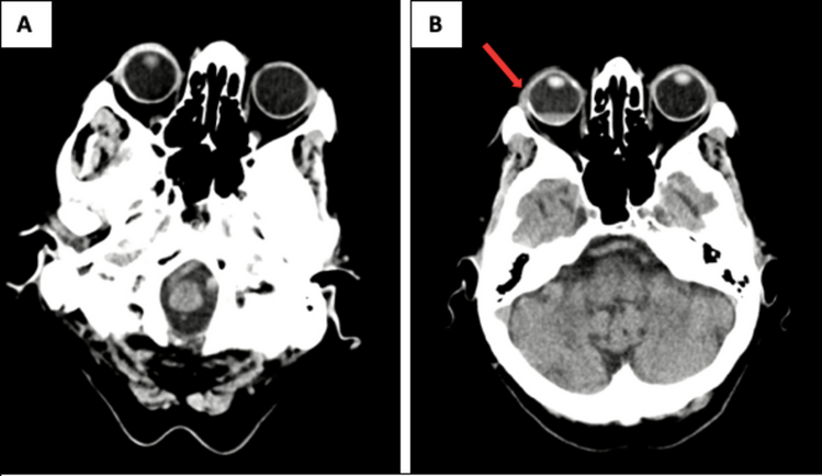
Blurred vision after thrombolysis
BB and AG contributed to the conception, acquisition of data, writing and critical revision of the article for important i...
Neurological Sciences
comment
0
thumb_up
0
Catatonia and cognitive decline in a patient with bipolar disorder: a diagnostic challenge leading to neuronal ceroid lipofuscinosis type 13
van der Zee J, Mariën P, Crols R, Van Mossevelde S, Dillen L, Perrone F, Engelborghs S, Verhoeven J, D’aes T, Ceuterick-De...
Neurological Sciences
comment
0
thumb_up
0
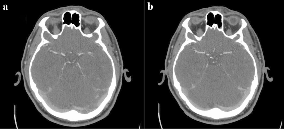
in acquired hepatocerebral degeneration
Authors and AffiliationsDipartimento Di Neuroscienze, Università Cattolica del Sacro Cuore, Rome, ItalyAngelo Tiziano Cimm...
Neurological Sciences
comment
0
thumb_up
0
Multiple sclerosis and sickle cell anemia: when two worlds collide
The coexistence of sickle cell anemia and multiple sclerosis in a single patient presents a rare and challenging clinical ...
Neurological Sciences
comment
0
thumb_up
0
The sieve mesh sign of central pontine myelinolysis in diabetic ketoacidosis
Ethical approval The study was conducted according to declaration o...
Neurological Sciences
comment
0
thumb_up
0
Revisiting Africa’s Stroke Obstacles and Services (SOS)
As one of the most common non-communicable diseases in Africa, Stroke ought to be dealt with properly with intensifying ef...
Neurological Sciences
comment
0
thumb_up
0
Tofersen for SOD1 amyotrophic lateral sclerosis: a systematic review and meta-analysis
Tofersen, an antisense oligonucleotide, has recently received FDA and EMA approval for treating amyotrophic lateral sclero...
Neurological Sciences
comment
0
thumb_up
0
Load More
Modal title
×
Modal title
×
Share
Login
Global News and Health Forum
Join Now!
Member Login
Remember me
Forgot password?
Or using
Linkedin