×
Close
Login
Home
SCI Abstract
Library D
Events & Partner
WeMed
MDLA Events Platform
Events
Media Partners
Educational Partner
User Tools
FAQ/USER GUIDE
Language
English
中文/ Chinese
French
Português
Español
Arabic
Russian
Contact Us
×
Close
mdla_1
mdla_2
mdla_3
mdla_4
mdla_5
mdla_6
Categories
Clinical Neurology
15936
Global Medical University
4983
Allergy
1699
Anatomy & Morphology
1528
Andrology
379
Anesthesia & Intensive Care
1224
Anesthesiology
5240
Audiology & Speech-Language Pathology
311
Behavioral Sciences
104
Biochemical Research Methods
6740
Biochemistry & Molecular Biology
28859
Biodiversity Conservation
294
Biology
8107
Biophysics
7956
Biotechnology & Applied Microbiology
8053
Cardiac & Cardiovascular Systems
30112
Cardiovascular & Respiratory Systems
1348
Cell & Tissue Engineering
664
Cell Biology
10762
Chemistry, Analytical
4154
Chemistry, Applied
10754
Chemistry, Medicinal
8448
Chemistry, Multidisciplinary
18249
Clinical Immunology & Infectious Disease
397
Clinical Medicine
8736
Clinical Psychology & Psychiatry
1251
Critical Care Medicine
3057
Dentistry, Oral Surgery & Medicine
12739
Dermatology
7353
Developmental Biology
6790
Ecology
631
Education, Scientific Disciplines
1919
Emergency Medicine
3858
Endocrinology, Metabolism & Nutrition
23207
Engineering, Biomedical
3585
Entomology
445
Environmental Medicine & Public Health
4578
Evolutionary Biology
252
Gastroenterology & Hepatology
11541
General & Internal Medicine
6783
Genetics & Heredity
14556
Geriatrics & Gerontology
4845
Gerontology
338
Health Care Sciences & Services
15479
Health Policy & Services
613
Hematology
5371
Immunology
24181
Infectious Diseases
13438
Integrative & Complementary Medicine
2805
Medical Ethics
1194
Medical Informatics
2139
Medical Laboratory Technology
419
Medicine, General & Internal
43503
Medicine, Legal
485
Medicine, Research & Experimental
17190
Microbiology
22533
Mycology
0
Nanoscience & Nanotechnology
5019
Neuroimaging
1248
Neurology
4363
Neurosciences
38345
Nursing
9258
Nutrition & Dietetics
7660
Obstetrics & Gynecology
7932
Oncology
50751
Ophthalmology
9334
Optics
4072
Orthopedics
11209
Orthopedics, Rehabilitation & Sports Medicine
1702
Otolaryngology
1490
Otorhinolaryngology
4683
Parasitology
1066
Pathology
4781
Pediatrics
20799
Peripheral Vascular Disease
4510
Pharmacology & Pharmacy
33681
Pharmacology/Toxicology
11854
Physiology
8669
Polymer Science
511
Primary Health Care
791
Psychiatry
18467
Psychology
5005
Psychology, Applied
92
Psychology, Biological
329
Psychology, Clinical
786
Psychology, Developmental
228
Psychology, Educational
143
Psychology, Experimental
133
Psychology, Mathematical
0
Psychology, Multidisciplinary
1576
Psychology, Psychoanalysis
30
Psychology, Social
112
Public Health & Health Care Science
2167
Public, Environmental & Occupational Health
26484
Quantum Science & Technology
0
Radiology, Nuclear Medicine & Imaging
11918
Radiology, Nuclear Medicine & Medical Imaging
7746
Rehabilitation
2873
Remote Sensing
0
Reproductive Biology
2697
Reproductive Medicine
1178
Research/Laboratory Medicine & Medical Technology
3841
Respiratory System
6995
Rheumatology
5660
Social Sciences, Biomedical
1150
Substance Abuse
2647
Surgery
32537
Toxicology
4177
Transplantation
931
Tropical Medicine
300
Urology & Nephrology
12420
Veterinary Sciences
35
Virology
2369
Zoology
0
Channels
NATURE REVIEWS NEUROLOGY
390
Dental Journal of Advance Studies
48
JOURNAL OF BRACHIAL PLEXUS AND PERIPHERAL NERVE INJURY
42
International Journal of Epilepsy
34
ALZHEIMERS & DEMENTIA
156
ALZHEIMERS RESEARCH & THERAPY
409
ANNALS OF NEUROLOGY
181
BIPOLAR DISORDERS
122
BRAIN STIMULATION
0
CEPHALALGIA
100
CURRENT NEUROLOGY AND NEUROSCIENCE REPORTS
211
CURRENT OPINION IN NEUROLOGY
216
EUROPEAN ARCHIVES OF PSYCHIATRY AND CLINICAL NEUROSCIENCE
477
INTERNATIONAL JOURNAL OF STROKE
23
JOURNAL OF NEURODEVELOPMENTAL DISORDERS
139
JOURNAL OF NEUROLOGY
982
LANCET NEUROLOGY
0
MULTIPLE SCLEROSIS JOURNAL
153
NEUROGASTROENTEROLOGY AND MOTILITY
183
NEUROLOGY
2170
NEUROLOGY-NEUROIMMUNOLOGY & NEUROINFLAMMATION
320
NEUROSCIENTIST
20
PSYCHIATRY AND CLINICAL NEUROSCIENCES
51
SLEEP MEDICINE
0
THERAPEUTIC ADVANCES IN NEUROLOGICAL DISORDERS
46
ACTA NEUROLOGICA SCANDINAVICA
112
AMERICAN JOURNAL OF ALZHEIMERS DISEASE AND OTHER DEMENTIAS
19
ANNALS OF INDIAN ACADEMY OF NEUROLOGY
245
CEREBROVASCULAR DISEASES
210
CLINICAL EEG AND NEUROSCIENCE
47
CLINICAL JOURNAL OF PAIN
49
EPILEPSY & BEHAVIOR
0
EPILEPSY RESEARCH
0
EPILEPTIC DISORDERS
47
EUROPEAN NEUROLOGY
130
JOURNAL OF NEUROLOGIC PHYSICAL THERAPY
17
JOURNAL OF NEUROSURGICAL ANESTHESIOLOGY
67
JOURNAL OF PAIN RESEARCH
892
NEURODEGENERATIVE DISEASES
47
NEUROEPIDEMIOLOGY
111
NEUROLOGIST
33
OTOLOGY & NEUROTOLOGY
337
PAIN AND THERAPY
287
PEDIATRIC NEUROLOGY
1
SCHMERZ
98
SEMINARS IN PEDIATRIC NEUROLOGY
137
SPINE
57
STROKE AND VASCULAR NEUROLOGY
191
JOURNAL OF NEUROLOGICAL SURGERY PART A-CENTRAL EUROPEAN NEUROSURGERY
244
JOURNAL OF THE NEUROLOGICAL SCIENCES
51
MULTIPLE SCLEROSIS AND RELATED DISORDERS
1269
NEUROLOGIC CLINICS
81
NEUROMUSCULAR DISORDERS
32
SEMINARS IN NEUROLOGY
221
ZEITSCHRIFT FUR EPILEPTOLOGIE
94
TREMOR AND OTHER HYPERKINETIC MOVEMENTS
77
SOMNOLOGIE
70
AFRICAN JOURNAL OF NEUROLOGICAL SCIENCES
52
BRAIN CIRCULATION
78
BRITISH JOURNAL OF PAIN
26
CASE REPORTS IN NEUROLOGY
140
CLINICAL NEUROPSYCHIATRY
17
DEMENTIA AND GERIATRIC COGNITIVE DISORDERS EXTRA
37
EUROPEAN STROKE JOURNAL
39
INTERVENTIONAL NEUROLOGY
10
IRANIAN JOURNAL OF CHILD NEUROLOGY
132
JOURNAL OF NEUROLOGICAL SURGERY REPORTS
77
JOURNAL OF NEUROSCIENCES IN RURAL PRACTICE
148
JOURNAL OF PEDIATRIC NEUROPSYCHOLOGY
59
MOVEMENT DISORDERS CLINICAL PRACTICE
187
MULTIPLE SCLEROSIS JOURNAL-EXPERIMENTAL TRANSLATIONAL AND CLINICAL
57
NEUROHOSPITALIST
54
NEUROLOGY AND CLINICAL NEUROSCIENCE
69
NEUROLOGY INTERNATIONAL
3
NEUROLOGY-CLINICAL PRACTICE
233
NEURO-ONCOLOGY PRACTICE
24
NEUROGENETICS
128
CURRENT PAIN AND HEADACHE REPORTS
244
NEUROCRITICAL CARE
548
NEUROLOGICAL SCIENCES
1153
NEURORADIOLOGY
493
SLEEP AND BIOLOGICAL RHYTHMS
182
SCI Abstract
search
ALL
RECOMMENDED
+
Health disparities in neurology
Health disparities are preventable differences in health between different populations, and they are endemic thro...
Nature Reviews Neurology
comment
0
thumb_up
0
Non-invasive brain stimulation: current and future applications in neurology
Device-based non-invasive brain stimulation (NIBS) techniques show promise for the treatment of neurological and psychiatr...
Nature Reviews Neurology
comment
0
thumb_up
0
A paradigm shift away from dissemination in time in multiple sclerosis
In the 2024 revisions of the McDonald criteria for diagnosis of multiple sclerosis (MS), dissemination in time is no longe...
Nature Reviews Neurology
comment
0
thumb_up
0
The 2024 revisions of the McDonald criteria pose risk of multiple sclerosis overdiagnosis
The 2024 revisions of the McDonald criteria for multiple sclerosis for the first time permit diagnosis in asymptomatic peo...
Nature Reviews Neurology
comment
0
thumb_up
0
Implementation of the 2024 revision of the McDonald criteria for multiple sclerosis
The 2024 revision of the McDonald criteria for diagnosis of multiple sclerosis marks a substantial departure from previous...
Nature Reviews Neurology
comment
0
thumb_up
0
The multiple sclerosis prodrome: insights into how and when disease starts
The multiple sclerosis (MS) prodrome and radiologically isolated syndrome (RIS) form overlapping parts of the MS disease c...
Nature Reviews Neurology
comment
0
thumb_up
0
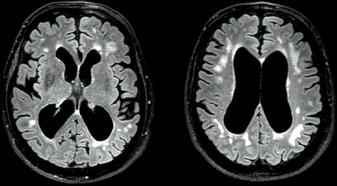
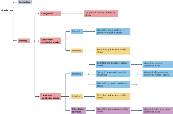
Progress and challenges in sporadic late-onset cerebellar ataxias
Sporadic late-onset cerebellar ataxia (SLOCA) is a syndrome defined by subacute or chronic and progressive ataxia occurrin...
Nature Reviews Neurology
comment
0
thumb_up
0
Myotonic dystrophy type 1: clinical diversity, molecular insights and therapeutic perspectives
Myotonic dystrophy type 1 (DM1) is the most prevalent muscular dystrophy in adulthood and is one of the most clinically di...
Nature Reviews Neurology
comment
0
thumb_up
0
Markers help to predict dementia with Lewy bodies
Biomarkers of Alzheimer disease (AD) pathology can predict the development of dementia with Lewy bodies (DLB) in people wi...
Nature Reviews Neurology
comment
0
thumb_up
0
MS drug beneficial in an underrepresented group
Real-world data indicate that ocrelizumab is safe and effective in Latino people with multiple sclerosis (MS), according t...
Nature Reviews Neurology
comment
0
thumb_up
0
Exploring the long-term neurological consequences of COVID-19
Two recently published studies have provided new insights into the long-term effects of COVID-19 on the nervous system.
Nature Reviews Neurology
comment
0
thumb_up
0
Neuron–tumour networks targeted
Characterization of the networks formed between neurons and glioblastoma cells enables targeting of these networks with th...
Nature Reviews Neurology
comment
0
thumb_up
0
Imperatives and co-benefits of research into climate change and neurological disease
Evidence suggests that anthropogenic climate change is accelerating and is affecting human health globally. Despite urgent...
Nature Reviews Neurology
comment
0
thumb_up
0
The impact of rare genetic variants on Alzheimer disease
Alzheimer disease (AD) is a progressive neurodegenerative disease with a strong genetic component. Although autosomal domi...
Nature Reviews Neurology
comment
0
thumb_up
0
Nothing about us, without us — establishing a patient and public involvement and engagement group
Implementation of patient and public involvement and engagement (PPIE) to enable patients and carers to feel included and ...
Nature Reviews Neurology
comment
0
thumb_up
0
Moving towards meaningful patient and public engagement
Patient and public involvement and engagement is increasingly mandated in funding applications, yet often remain tokenisti...
Nature Reviews Neurology
comment
0
thumb_up
0
Improved quality of life with MS treatment
Cladribine tablets can improve quality of life in people with highly active relapsing multiple sclerosis (MS), according t...
Nature Reviews Neurology
comment
0
thumb_up
0
IGFBP2 levels associated with Alzheimer disease
A study published in Brain has found correlations between serum and cerebrospinal fluid levels of insulin-like growth fact...
Nature Reviews Neurology
comment
0
thumb_up
0
A multiple hits hypothesis for memory dysfunction in Parkinson disease
Cognitive disorders are increasingly recognized in Parkinson disease (PD), even in early disease stages, and memory is one...
Nature Reviews Neurology
comment
0
thumb_up
0
Restoring synaptic plasticity after stroke
Gamma oscillations induced by optogenetic stimulation restore functional synaptic plasticity in a mouse model of stroke, a...
Nature Reviews Neurology
comment
0
thumb_up
0
CD11c+ macrophages mediate brain-to-gut α-synuclein trafficking
New research indicates that in a mouse model of Parkinson disease, α-synuclein is trafficked from the brain to the gu...
Nature Reviews Neurology
comment
0
thumb_up
0
ALS pathogenesis linked to actin barrier collapse
Repulsive guidance molecule A (RGMa) regulates actin dynamics via neogenin 1 signalling. A new study found that the cerebr...
Nature Reviews Neurology
comment
0
thumb_up
0
A tale of race and B cells in multiple sclerosis
A new study indicates that African American people with multiple sclerosis have higher markers of humoral disease patholog...
Nature Reviews Neurology
comment
0
thumb_up
0
Rare genetic brain disorders with overlapping neurological and psychiatric phenotypes
Understanding rare genetic brain disorders with overlapping neurological and psychiatric phenotypes is of increasing impor...
Nature Reviews Neurology
comment
0
thumb_up
0
A new biological classification for Parkinson disease
In a plenary lecture at the XXVI World Congress of Neurology, Anthony Lang presented a new biological classification model...
Nature Reviews Neurology
comment
0
thumb_up
0
Metformin protects against dementia in diabetes
Use of metformin in people aged ≥60 years with type 2 diabetes mellitus (T2DM) is associated with a reduced risk of develo...
Nature Reviews Neurology
comment
0
thumb_up
0
Glioblastoma tackled with oncolytic virus
A first-in-human trial indicates that treatment with an oncolytic virus is associated with increased survival in people wi...
Nature Reviews Neurology
comment
0
thumb_up
0
Myelination mediates benefits of ketamine
Restoration of impaired myelination underlies the long-lasting antidepressant effects of ketamine, new research suggests. ...
Nature Reviews Neurology
comment
0
thumb_up
0
Peripheral B cells altered in Parkinson disease
The findings of an immunophenotyping study suggest that abnormal peripheral B cell responses could contribute to Parkinson...
Nature Reviews Neurology
comment
0
thumb_up
0
Biomarkers in amyotrophic lateral sclerosis: current status and future prospects
Disease heterogeneity in amyotrophic lateral sclerosis poses a substantial challenge in drug development. Categorization b...
Nature Reviews Neurology
comment
0
thumb_up
0
Load More
Modal title
×
Modal title
×
Share
Login
Global News and Health Forum
Join Now!
Member Login
Remember me
Forgot password?
Or using
Linkedin