×
Close
Login
Home
SCI Abstract
Library D
Events & Partner
WeMed
MDLA Events Platform
Events
Media Partners
Educational Partner
User Tools
FAQ/USER GUIDE
Language
English
中文/ Chinese
French
Português
Español
Arabic
Russian
Contact Us
×
Close
mdla_1
mdla_2
mdla_3
mdla_4
mdla_5
mdla_6
Categories
Biology
8107
Global Medical University
4983
Allergy
1699
Anatomy & Morphology
1528
Andrology
379
Anesthesia & Intensive Care
1224
Anesthesiology
5240
Audiology & Speech-Language Pathology
311
Behavioral Sciences
104
Biochemical Research Methods
6740
Biochemistry & Molecular Biology
28859
Biodiversity Conservation
294
Biophysics
7956
Biotechnology & Applied Microbiology
8053
Cardiac & Cardiovascular Systems
30112
Cardiovascular & Respiratory Systems
1348
Cell & Tissue Engineering
664
Cell Biology
10762
Chemistry, Analytical
4154
Chemistry, Applied
10754
Chemistry, Medicinal
8448
Chemistry, Multidisciplinary
18249
Clinical Immunology & Infectious Disease
397
Clinical Medicine
8736
Clinical Neurology
15936
Clinical Psychology & Psychiatry
1251
Critical Care Medicine
3057
Dentistry, Oral Surgery & Medicine
12739
Dermatology
7353
Developmental Biology
6790
Ecology
631
Education, Scientific Disciplines
1919
Emergency Medicine
3858
Endocrinology, Metabolism & Nutrition
23207
Engineering, Biomedical
3585
Entomology
445
Environmental Medicine & Public Health
4578
Evolutionary Biology
252
Gastroenterology & Hepatology
11541
General & Internal Medicine
6783
Genetics & Heredity
14556
Geriatrics & Gerontology
4845
Gerontology
338
Health Care Sciences & Services
15479
Health Policy & Services
613
Hematology
5371
Immunology
24181
Infectious Diseases
13438
Integrative & Complementary Medicine
2805
Medical Ethics
1194
Medical Informatics
2139
Medical Laboratory Technology
419
Medicine, General & Internal
43503
Medicine, Legal
485
Medicine, Research & Experimental
17190
Microbiology
22533
Mycology
0
Nanoscience & Nanotechnology
5019
Neuroimaging
1248
Neurology
4363
Neurosciences
38345
Nursing
9258
Nutrition & Dietetics
7660
Obstetrics & Gynecology
7932
Oncology
50751
Ophthalmology
9334
Optics
4072
Orthopedics
11209
Orthopedics, Rehabilitation & Sports Medicine
1702
Otolaryngology
1490
Otorhinolaryngology
4683
Parasitology
1066
Pathology
4781
Pediatrics
20799
Peripheral Vascular Disease
4510
Pharmacology & Pharmacy
33681
Pharmacology/Toxicology
11854
Physiology
8669
Polymer Science
511
Primary Health Care
791
Psychiatry
18467
Psychology
5005
Psychology, Applied
92
Psychology, Biological
329
Psychology, Clinical
786
Psychology, Developmental
228
Psychology, Educational
143
Psychology, Experimental
133
Psychology, Mathematical
0
Psychology, Multidisciplinary
1576
Psychology, Psychoanalysis
30
Psychology, Social
112
Public Health & Health Care Science
2167
Public, Environmental & Occupational Health
26484
Quantum Science & Technology
0
Radiology, Nuclear Medicine & Imaging
11918
Radiology, Nuclear Medicine & Medical Imaging
7746
Rehabilitation
2873
Remote Sensing
0
Reproductive Biology
2697
Reproductive Medicine
1178
Research/Laboratory Medicine & Medical Technology
3841
Respiratory System
6995
Rheumatology
5660
Social Sciences, Biomedical
1150
Substance Abuse
2647
Surgery
32537
Toxicology
4177
Transplantation
931
Tropical Medicine
300
Urology & Nephrology
12420
Veterinary Sciences
35
Virology
2369
Zoology
0
Channels
HISTOCHEMISTRY AND CELL BIOLOGY
274
ACTA NEUROPATHOLOGICA COMMUNICATIONS
435
BIOSCIENCE
9
BMC BIOLOGY
558
GENETICS
20
INTERFACE FOCUS
80
JOURNAL OF BIOMEDICAL MATERIALS RESEARCH PART A
153
JOURNAL OF EXPERIMENTAL BIOLOGY
178
JOURNAL OF NANOBIOTECHNOLOGY
913
JOURNAL OF NUTRITIONAL BIOCHEMISTRY
550
ORGANIC & BIOMOLECULAR CHEMISTRY
2300
PLOS BIOLOGY
90
QUARTERLY REVIEW OF BIOLOGY
10
WILEY INTERDISCIPLINARY REVIEWS-DEVELOPMENTAL BIOLOGY
3
AMERICAN JOURNAL OF HUMAN BIOLOGY
131
AMERICAN JOURNAL OF PHYSICAL ANTHROPOLOGY
131
ARCHIVES OF BIOLOGICAL SCIENCES
122
BIOLOGICAL RESEARCH
142
BIOLOGY BULLETIN
62
BIOLOGY OPEN
55
BRAZILIAN ARCHIVES OF BIOLOGY AND TECHNOLOGY
0
HEALTH PHYSICS
188
INDIAN JOURNAL OF EXPERIMENTAL BIOLOGY
117
INDIAN JOURNAL OF HEMATOLOGY AND BLOOD TRANSFUSION
409
JOURNAL OF BIOLOGICAL RESEARCH-THESSALONIKI
13
JOURNAL OF BIOLOGICAL RHYTHMS
28
JOURNAL OF BIOMEDICAL SEMANTICS
66
JOURNAL OF EUKARYOTIC MICROBIOLOGY
26
JOURNAL OF MICROSCOPY
56
JOURNAL OF PATHOLOGY CLINICAL RESEARCH
24
REVISTA DA SOCIEDADE BRASILEIRA DE MEDICINA TROPICAL
0
JOURNAL OF BIOSCIENCES
194
JOURNAL OF TRACE ELEMENTS IN MEDICINE AND BIOLOGY
432
REVISTA DE BIOLOGIA TROPICAL
31
REGULATORY MECHANISMS IN BIOSYSTEMS
220
NUSANTARA BIOSCIENCE
87
SCI Abstract
search
ALL
RECOMMENDED
+
Differentiation to insulin-positive cells from human amnion epithelial cells using a pancreatic development mimicry protocol
Diabetes mellitus (DM) is characterized by the loss or dysfunction pancreatic β-cells. Human amniotic epithelial cell...
Histochemistry And Cell Biology
comment
0
thumb_up
0
Excessive intake of fructose and alcohol aggravates high-fat diet-induced steatohepatitis and changes hepatic iron homeostasis
Hepatocytes play a vital role in maintaining iron homeostasis, which can be compromised by poor diet and lifestyle. This s...
Histochemistry And Cell Biology
comment
0
thumb_up
0
The ILK–PINCH–parvin complex: a conserved primary adhesome regulating biological processes
Intracellularly expressed integrin associated proteins (IAPs) play pivotal role in facilitating cellular adhesion and surv...
Histochemistry And Cell Biology
comment
0
thumb_up
0
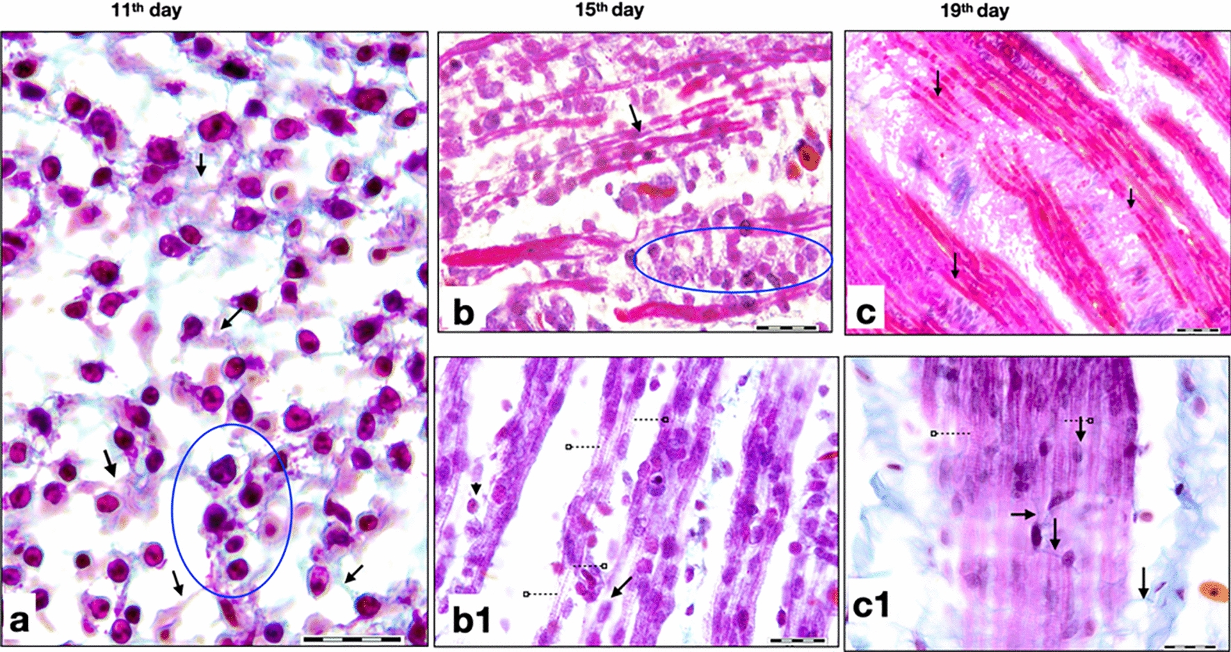
Exploring the expression of MMP-2, MT1-MMP, and MMP-9 in the pectoral muscle of Ross chickens during E11, E15, and E19 of fetal development
There are pertinent studies on the relationship between matrix metalloproteinases (MMPs) and muscle cell differentiation i...
Histochemistry And Cell Biology
comment
0
thumb_up
0
Secreted Frizzled-related proteins in animal development
Secreted Frizzled-related proteins (SFRPs) are a small, ancient family of extracellular signaling pathway agonists and ant...
Histochemistry And Cell Biology
comment
0
thumb_up
0
Development of optimized differentiation media for murine bone marrow multipotent mesenchymal stromal cells
Here, we aimed to define adipogenic, osteogenic, and chondrogenic media for the differentiation of murine mesenchymal stro...
Histochemistry And Cell Biology
comment
0
thumb_up
0
Comparative assessment of human chondroprogenitor viability and molecular phenotype in various parenteral transport media
Chondroprogenitors derived from articular cartilage offer a promising approach for treating cartilage pathologies owing to...
Histochemistry And Cell Biology
comment
0
thumb_up
0
Proneural gene Mash1 (Ascl1) is expressed in multiple lineages and regulates their differentiation and specification
Ascl1 (Mash1), a bHLH transcription factor, is widely expressed by neuronal progenitors. The gene plays a key role in the ...
Histochemistry And Cell Biology
comment
0
thumb_up
0
The first link between ADAMTS-13 and apoptosis in type 1 diabetic liver injury
Type 1 diabetes mellitus (T1DM) is associated with oxidative stress and inflammation in the liver, which contribute to hep...
Histochemistry And Cell Biology
comment
0
thumb_up
0
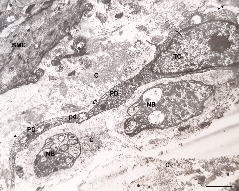
Telocytes: history, origin, identification, structure, distribution, and functions
Telocytes are specialized interstitial cells characterized by their unique structure, which features a relatively small ce...
Histochemistry And Cell Biology
comment
0
thumb_up
0
Combined treatment of melatonin and alpha-lipoic acid facilitates wound healing in rat palate: A macroscopic, histological, and immunohistochemical study
Oxidative stress is known to have a detrimental effect on wound healing following oral mucosal injuries. Exogenous antioxi...
Histochemistry And Cell Biology
comment
0
thumb_up
0
MyoAnalyst: an ImageJ plugin for accurate and automatic myofiber segmentation and analysis in skeletal muscle cross sections
Quantifying myofiber size is essential for assessing the health and function of skeletal muscle. Although several ImageJ p...
Histochemistry And Cell Biology
comment
0
thumb_up
0
July in focus in HCB
The inhibitor of growth protein family (ING) consists of at least five family members (ING1–5), with a range of proposed a...
Histochemistry And Cell Biology
comment
0
thumb_up
0
Increased Fos immunoreactivity in astrocytes in the raphe pallidus under hypoxia, not hypercapnia
The raphe pallidus (RPa), a part of the caudal medullary raphe nucleus, has been suggested to participate in respiratory r...
Histochemistry And Cell Biology
comment
0
thumb_up
0
Unveiling the intricacies of exosome biology: from biogenesis to therapeutic applications
Exosomes are small membrane-bound nanovesicles that are secreted by cells when multivesicular bodies merge with the plasma...
Histochemistry And Cell Biology
comment
0
thumb_up
0
Gamma smooth muscle actin as a new potential marker of cancer-associated fibroblasts
Cancer-associated fibroblasts (CAFs) represent an important component of the cancer ecosystem, influencing the broad scale...
Histochemistry And Cell Biology
comment
0
thumb_up
0
Co-culture of postnatal mouse spinal cord and skeletal muscle explants as an experimental model of neuromuscular interactions
The intercommunication between nerves and muscles plays an important role in the functioning of our body, and its failure ...
Histochemistry And Cell Biology
comment
0
thumb_up
0
A novel tape-free sample preparation method for human osteochondral cryosections for high throughput hyperspectral imaging
Understanding the osteochondral junction, where non-mineralised cartilage and mineralised bone converge, is crucial for jo...
Histochemistry And Cell Biology
comment
0
thumb_up
0
Effect of middle-age plasma therapy on ileum morphology, immune defense (IgA) and cell proliferation (Ki-67) of female aged rats
Blood plasma therapy, a new treatment method to eliminate the damage and deterioration caused by aging in many organ syste...
Histochemistry And Cell Biology
comment
0
thumb_up
0
Protective effects of adipose-derived stem cells against testicular injury induced after ischemia–reperfusion by regulating autophagy
The damaged organ may experience severe pathological alterations as a result of tissue ischemia–reperfusion (I/R). T...
Histochemistry And Cell Biology
comment
0
thumb_up
0
Ku70 silencing aggravates oxygen–glucose deprivation/reperfusion-induced injury by activation of the p53 apoptotic pathway in rat cortical astrocytes
Oxidative stress-induced DNA damage is an important mechanism that leads to the death of neuronal cells after ischemic str...
Histochemistry And Cell Biology
comment
0
thumb_up
0
Effect of bone marrow niche on hematopoietic stem cells
Hematopoietic stem cells (HSCs) reside in a milieu that supports their functions, differentiation, and survival. This nich...
Histochemistry And Cell Biology
comment
0
thumb_up
0
Multimodal tumor suppression by METTL3 gene knockdown in melanoma and colon cancer cells
METTL3, an m6A methyltransferase, is integral to the regulation of messenger RNA (mRNA) biogenesis, degradation, and trans...
Histochemistry And Cell Biology
comment
0
thumb_up
0
Differential expression of the ubiquitin-editing enzyme A20 in gastric biopsies indicates the severity of disease
A20, an ubiquitin-editing enzyme, plays a pivotal role in regulating cell signaling and immune responses. Dysregulated A20...
Histochemistry And Cell Biology
comment
0
thumb_up
0
Differential cell architecture and microenvironmental responses of pretumoral and tumoral cellular models exposed to coverslip-induced hypoxia
The tumor microenvironment is an altered milieu that imposes multiple selective pressures leading to the survival and diss...
Histochemistry And Cell Biology
comment
0
thumb_up
0
Seventy years of peroxisome research: current advances and future perspectives
The 9th Open European Peroxisome Meeting (OEPM) took place in Sant Feliu de Guíxols, Costa Brava, Spain at the Eden Roc Ho...
Histochemistry And Cell Biology
comment
0
thumb_up
0
mTORC1 regulates the proliferation of SOX9+ porcine skin-derived stem cells (pSDSCs) by promoting S6K phosphorylation
Skin-derived stem cells (SDSCs) are a subtype of adult stem cells (ASCs) that are widely harvested and exempt from ethical...
Histochemistry And Cell Biology
comment
0
thumb_up
0
The dynamic interaction of pediatric ALL cells and MSCs: influencing leukemic cell survival and modulating MSC β-catenin expression
Bone marrow mesenchymal stromal cells (BM-MSCs) are integral components of the bone marrow microenvironment, playing a cru...
Histochemistry And Cell Biology
comment
0
thumb_up
0
Differentiation of stem cells into chondrocytes and their potential clinical application in cartilage regeneration
Cartilage diseases and injuries are considered difficult to treat owing to the low regenerative capacity of this tissue. U...
Histochemistry And Cell Biology
comment
0
thumb_up
0
Modulation of placental angiogenesis by metformin in a rat model of gestational diabetes
Gestational diabetes mellitus (GDM) significantly disrupts placental structure and function, leading to complications such...
Histochemistry And Cell Biology
comment
0
thumb_up
0
Load More
Modal title
×
Modal title
×
Share
Login
Global News and Health Forum
Join Now!
Member Login
Remember me
Forgot password?
Or using
Linkedin