×
Close
Login
Home
SCI Abstract
Library D
Events & Partner
WeMed
MDLA Events Platform
Events
Media Partners
Educational Partner
User Tools
FAQ/USER GUIDE
Language
English
中文/ Chinese
French
Português
Español
Arabic
Russian
Contact Us
×
Close
mdla_1
mdla_2
mdla_3
mdla_4
mdla_5
mdla_6
Categories
Gastroenterology & Hepatology
11541
Global Medical University
4983
Allergy
1699
Anatomy & Morphology
1528
Andrology
379
Anesthesia & Intensive Care
1224
Anesthesiology
5240
Audiology & Speech-Language Pathology
311
Behavioral Sciences
104
Biochemical Research Methods
6740
Biochemistry & Molecular Biology
28859
Biodiversity Conservation
294
Biology
8107
Biophysics
7956
Biotechnology & Applied Microbiology
8053
Cardiac & Cardiovascular Systems
30112
Cardiovascular & Respiratory Systems
1348
Cell & Tissue Engineering
664
Cell Biology
10762
Chemistry, Analytical
4154
Chemistry, Applied
10754
Chemistry, Medicinal
8448
Chemistry, Multidisciplinary
18249
Clinical Immunology & Infectious Disease
397
Clinical Medicine
8736
Clinical Neurology
15936
Clinical Psychology & Psychiatry
1251
Critical Care Medicine
3057
Dentistry, Oral Surgery & Medicine
12739
Dermatology
7353
Developmental Biology
6790
Ecology
631
Education, Scientific Disciplines
1919
Emergency Medicine
3858
Endocrinology, Metabolism & Nutrition
23207
Engineering, Biomedical
3585
Entomology
445
Environmental Medicine & Public Health
4578
Evolutionary Biology
252
General & Internal Medicine
6783
Genetics & Heredity
14556
Geriatrics & Gerontology
4845
Gerontology
338
Health Care Sciences & Services
15479
Health Policy & Services
613
Hematology
5371
Immunology
24181
Infectious Diseases
13438
Integrative & Complementary Medicine
2805
Medical Ethics
1194
Medical Informatics
2139
Medical Laboratory Technology
419
Medicine, General & Internal
43503
Medicine, Legal
485
Medicine, Research & Experimental
17190
Microbiology
22533
Mycology
0
Nanoscience & Nanotechnology
5019
Neuroimaging
1248
Neurology
4363
Neurosciences
38345
Nursing
9258
Nutrition & Dietetics
7660
Obstetrics & Gynecology
7932
Oncology
50751
Ophthalmology
9334
Optics
4072
Orthopedics
11209
Orthopedics, Rehabilitation & Sports Medicine
1702
Otolaryngology
1490
Otorhinolaryngology
4683
Parasitology
1066
Pathology
4781
Pediatrics
20799
Peripheral Vascular Disease
4510
Pharmacology & Pharmacy
33681
Pharmacology/Toxicology
11854
Physiology
8669
Polymer Science
511
Primary Health Care
791
Psychiatry
18467
Psychology
5005
Psychology, Applied
92
Psychology, Biological
329
Psychology, Clinical
786
Psychology, Developmental
228
Psychology, Educational
143
Psychology, Experimental
133
Psychology, Mathematical
0
Psychology, Multidisciplinary
1576
Psychology, Psychoanalysis
30
Psychology, Social
112
Public Health & Health Care Science
2167
Public, Environmental & Occupational Health
26484
Quantum Science & Technology
0
Radiology, Nuclear Medicine & Imaging
11918
Radiology, Nuclear Medicine & Medical Imaging
7746
Rehabilitation
2873
Remote Sensing
0
Reproductive Biology
2697
Reproductive Medicine
1178
Research/Laboratory Medicine & Medical Technology
3841
Respiratory System
6995
Rheumatology
5660
Social Sciences, Biomedical
1150
Substance Abuse
2647
Surgery
32537
Toxicology
4177
Transplantation
931
Tropical Medicine
300
Urology & Nephrology
12420
Veterinary Sciences
35
Virology
2369
Zoology
0
Channels
GASTRIC CANCER
276
Hepatology Research
72
NEJM Gastroenterology
5
Medrxiv - Gastroenterolog
364
AMERICAN JOURNAL OF GASTROENTEROLOGY
449
BEST PRACTICE & RESEARCH CLINICAL GASTROENTEROLOGY
119
CLINICAL AND TRANSLATIONAL GASTROENTEROLOGY
264
DIGESTION
98
ENDOSCOPY
1103
GASTROENTEROLOGY
33
GASTROINTESTINAL ENDOSCOPY
25
GUT
565
HEPATOLOGY
518
HEPATOLOGY INTERNATIONAL
395
INFLAMMATORY BOWEL DISEASES
20
JOURNAL OF GASTROENTEROLOGY
268
JOURNAL OF GASTROENTEROLOGY AND HEPATOLOGY
295
JOURNAL OF PEDIATRIC GASTROENTEROLOGY AND NUTRITION
554
JOURNAL OF VIRAL HEPATITIS
105
LANCET GASTROENTEROLOGY & HEPATOLOGY
19
LIVER INTERNATIONAL
230
NATURE REVIEWS GASTROENTEROLOGY & HEPATOLOGY
406
UNITED EUROPEAN GASTROENTEROLOGY JOURNAL
19
ARAB JOURNAL OF GASTROENTEROLOGY
153
CURRENT OPINION IN GASTROENTEROLOGY
90
DIGESTIVE DISEASES
146
DISEASES OF THE ESOPHAGUS
30
EUROPEAN JOURNAL OF GASTROENTEROLOGY & HEPATOLOGY
250
GASTROENTEROLOGIA Y HEPATOLOGIA
366
JOURNAL OF DIGESTIVE DISEASES
76
SAUDI JOURNAL OF GASTROENTEROLOGY
118
THERAPEUTIC ADVANCES IN GASTROENTEROLOGY
87
VISCERAL MEDICINE
80
HEPATOBILIARY SURGERY AND NUTRITION
77
JOURNAL OF GASTROINTESTINAL AND LIVER DISEASES
214
REVISTA ESPANOLA DE ENFERMEDADES DIGESTIVAS
18
ACG CASE REPORTS JOURNAL
469
ANNALS OF GASTROENTEROLOGY
258
CLINICAL ENDOSCOPY
234
CLINICAL JOURNAL OF GASTROENTEROLOGY
438
ENDOSCOPY INTERNATIONAL OPEN
497
FRONTLINE GASTROENTEROLOGY
274
GASTROENTEROLOGY INSIGHTS
50
GASTROINTESTINAL TUMORS
19
GE PORTUGUESE JOURNAL OF GASTROENTEROLOGY
135
INDIAN JOURNAL OF GASTROENTEROLOGY
315
INTESTINAL RESEARCH
20
DIGESTIVE DISEASES AND SCIENCES
925
SCI Abstract
search
ALL
RECOMMENDED
+
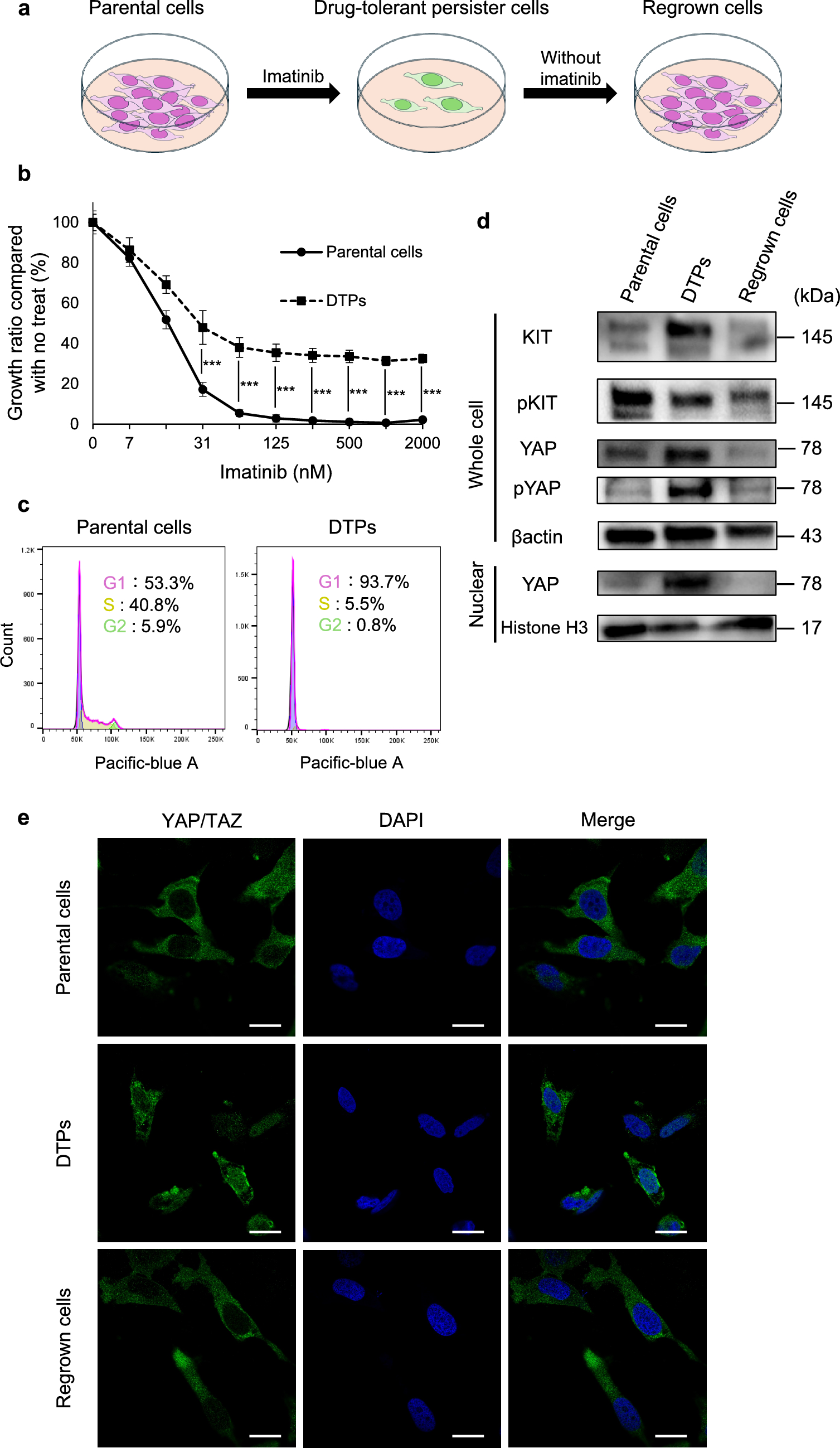
Targeting yes-associated protein to overcome imatinib resistance in gastrointestinal stromal tumor drug-tolerant persister cells
The tyrosine kinase inhibitor (TKI) imatinib targets KIT and PDGFRA, offering significant therapeutic benefits in advanced...
Gastric Cancer
comment
0
thumb_up
0
Time-sequential prediction of postoperative complications after gastric cancer surgery using machine learning: a multicenter cohort study
Although many studies have developed logistic regression models for predicting complications using preoperative and intrao...
Gastric Cancer
comment
0
thumb_up
0
Eligibility criteria in phase 3 randomized controlled trials in gastric cancer
The purpose of this study was to examine the eligibility criteria in phase 3 randomized controlled trials (RCTs) in gastri...
Gastric Cancer
comment
0
thumb_up
0
Development and validation of a prognostic model incorporating patient reported outcomes for advanced gastric and esophageal carcinoma (AGOC) using individual patient data from two AGITG randomized clinical trials
We developed and validated a prognostic model incorporating readily accessible clinicopathological data and specific patie...
Gastric Cancer
comment
0
thumb_up
0
Angiotensin receptor blocker and angiotensin-converting enzyme inhibitor use and survival in gastric cancer patients: a Finnish nationwide cohort study
The renin–angiotensin system (RAS) has been increasingly recognized to be associated with carcinogenesis and cancer ...
Gastric Cancer
comment
0
thumb_up
0
Minimally invasive versus open completion total gastrectomy for remnant gastric cancer: a nationwide propensity score-matched analysis
Minimally invasive surgery (MIS) is increasingly used for gastric cancer; however, its application to remnant gastric canc...
Gastric Cancer
comment
0
thumb_up
0
Clinical-radiomic prognostic model integrating staging before and after neoadjuvant chemotherapy in gastric cancer: a multicenter retrospective study
Tumor regression grade (TRG) and ypTNM are primarily employed to evaluate the efficacy of Neoadjuvant chemotherapy (NAC) i...
Gastric Cancer
comment
0
thumb_up
0
Classification based on tumor phenotypes enables the novel molecular characterization of esophagogastric junction cancer
The incidence of esophagogastric junction (EGJ) cancer is increasing worldwide. Siewert type II EGJ cancer encompasses int...
Gastric Cancer
comment
0
thumb_up
0
Textbook outcome in gastrectomy: useful metric or moving target? A scoping review
Composite metrics including Textbook Outcome (TO) and Textbook Oncological Outcome (TOO) are increasingly utilised to asse...
Gastric Cancer
comment
0
thumb_up
0
Type 2 diabetes in patients undergoing gastric cancer surgery: areas requiring disease-specific glycemic management
This review provides a comprehensive analysis of phase-specific management strategies for type 2 diabetes (T2D) in patient...
Gastric Cancer
comment
0
thumb_up
0
Gallbladder edema as a clue to zolbetuximab-associated protein-losing enteropathy in gastric cancer: a case report
We report a rare case of protein-losing enteropathy (PLE) during zolbetuximab treatment in a 73-year-old woman with Stage ...
Gastric Cancer
comment
0
thumb_up
0
Development of adenovirus-based oncolytic virus to induce EBV lytic reactivation
Oncolytic viruses (OVs) selectively replicate in and lyse tumor cells. Epstein–Barr virus-associated gastric carcino...
Gastric Cancer
comment
0
thumb_up
0
Dynamic postoperative prognosis and follow-up optimization for gastric cancer patients after neoadjuvant therapy: a multicenter retrospective study
Conditional survival (CS) estimates the probability of future survival based on time already survived. However, evidence r...
Gastric Cancer
comment
0
thumb_up
0
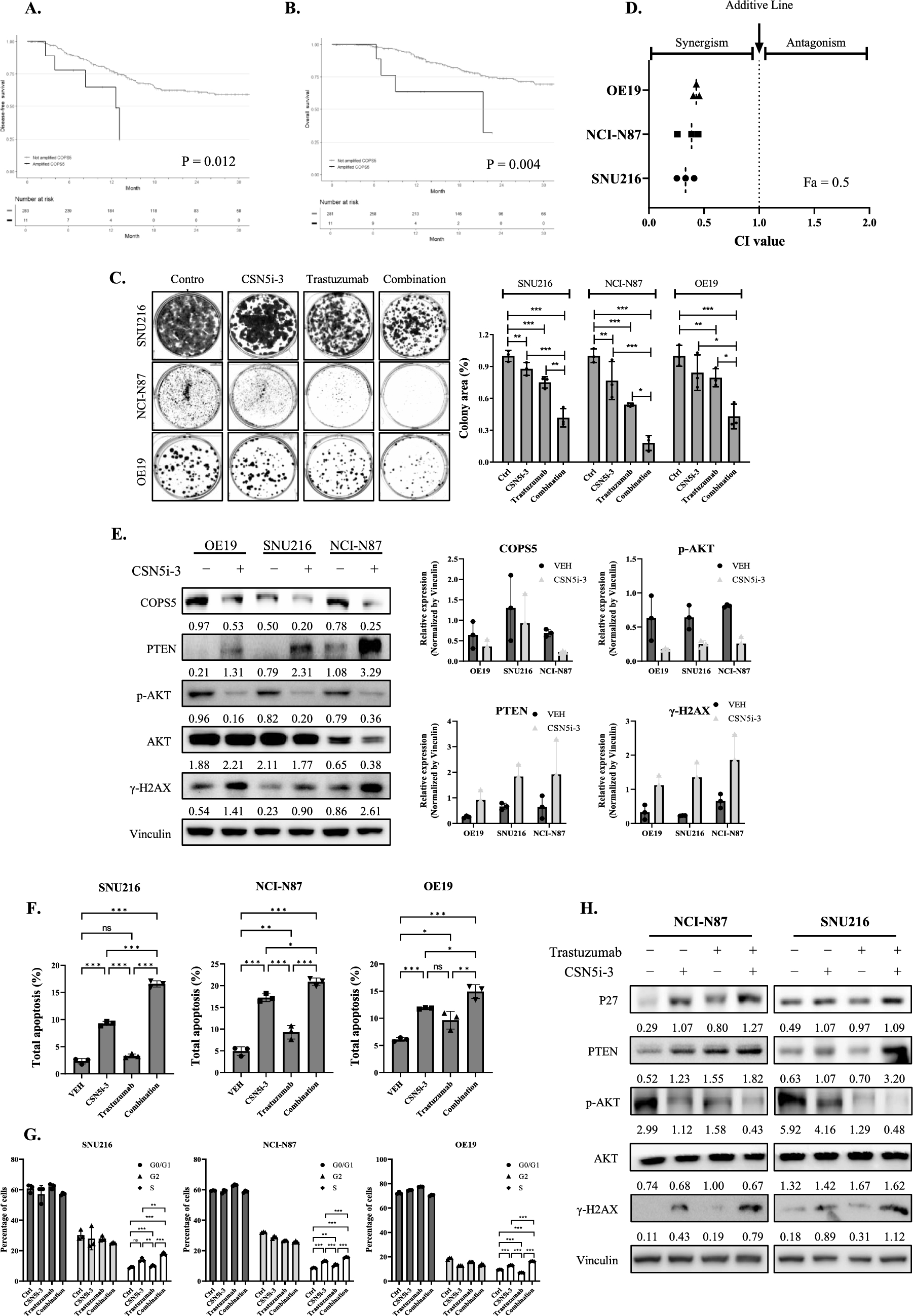
COPS5 inhibition synergizes with the antitumor effect of trastuzumab by PTEN upregulation in -amplified gastric cancer
COP9 Signalosome Subunit 5 (COPS5) is a deubiquitinating enzyme that induces chemotherapy resistance. The role of COPS5 am...
Gastric Cancer
comment
0
thumb_up
0
Comparative efficacy and safety of tislelizumab and other programmed cell death protein 1 inhibitors in first-line treatment of advanced gastroesophageal cancers: a systematic review and network meta-analysis
Several programmed cell death protein-1 inhibitors are approved for the first-line treatment of advanced gastric/gastroeso...
Gastric Cancer
comment
0
thumb_up
0
Health-related quality-of-life outcomes with regorafenib in advanced gastric and esophagogastric junction cancer: results from the INTEGRATE trials
The INTEGRATE trials evaluated regorafenib in advanced gastric and esophagogastric junction cancer (AGOC), a poor prognosi...
Gastric Cancer
comment
0
thumb_up
0
Clinical utility impact of DNA-based cytology using droplet digital methylation-specific PCR in gastric cancer
Peritoneal dissemination is a major cause of poor prognosis in gastric cancer (GC). Although conventional peritoneal lavag...
Gastric Cancer
comment
0
thumb_up
0
A gene-expression signature defines a subtype of Stomach Adenocarcinomas with low levels of Claudins and a high ratio of NF-YA long/NF-YA short splicing variants
Claudin-3, Claudin-4, and Claudin-7 are expressed on the surface of epithelial cells. Their absence in neoplastic cells of...
Gastric Cancer
comment
0
thumb_up
0
Clinicopathological significance of JAK2, STAT3, and STAT4 expression in patients with gastric solid-type poorly differentiated adenocarcinoma: a retrospective study
The role of janus kinase (JAK)/signal transducer and activator of transcription (STAT) signaling remains unclear in gastri...
Gastric Cancer
comment
0
thumb_up
0
Investigating the role of inflammatory cytokines in mediating the effect of gut microbiota on gastrointestinal cancers: a mendelian randomization study
The purpose of this study is to explore the causal relationship between gut microbiota and gastrointestinal (GI) cancers a...
Gastric Cancer
comment
0
thumb_up
0
The relationship between the gastric cancer microbiome and clinicopathological factors: a metagenomic investigation from the 100,000 genomes project and The Cancer Genome Atlas
Findings from previous gastric cancer microbiome studies have been conflicting, potentially due to patient and/or tumor he...
Gastric Cancer
comment
0
thumb_up
0
Spatial organization of B lymphocytes and prognosis prediction in patients with gastric cancer
Within the tumor microenvironment (TME), the association of B lymphocytes (B cells) with prognosis and therapy response in...
Gastric Cancer
comment
0
thumb_up
0
The impact of ADAMTS14 genetic polymorphisms and its function on susceptibility to and prognosis of gastric cancer in a Chinese Han population
Single nucleotide polymorphisms (SNPs) are associated with various diseases, including gastric cancer. The ADAMTS14 gene i...
Gastric Cancer
comment
0
thumb_up
0
Robotic and laparoscopic gastrectomy for gastric cancer: comparative insights into perioperative performance and three-year survival outcomes
The primary treatment for gastric cancer (GC) is surgical resection, particularly for locally advanced cases. While laparo...
Gastric Cancer
comment
0
thumb_up
0
Comprehensive histopathological analysis of gastric cancer in European and Latin America populations reveals differences in PDL1, HER2, p53 and MUC6 expression
Gastric cancer (GC) burden is currently evolving with regional differences associated with complex behavioural, environmen...
Gastric Cancer
comment
0
thumb_up
0
Short-term outcomes of preoperative computed tomography angiography versus standard assessment in patients with BMI ≥ 25.0 kg/m2 undergoing laparoscopic gastrectomy: the GISSG20-01 randomized clinical trial
Laparoscopic gastrectomy lacks hand-direct tactile sense and has a limited surgical field compared to laparotomy. Apart fr...
Gastric Cancer
comment
0
thumb_up
0
Hazard rates of recurrence for gastric cancer after curative resection: implications for postoperative surveillance
Identifying the most effective postoperative surveillance interval in patients with gastric cancer (GC) remains challengin...
Gastric Cancer
comment
0
thumb_up
0
Prevalence and clinicopathological features of microsatellite instability-high metastatic or recurrent gastric and esophagogastric junction cancer: WJOG13320GPS
Microsatellite instability (MSI)-high tumors represent a distinct, small-fraction subtype in esophagogastric junction canc...
Gastric Cancer
comment
0
thumb_up
0
Tumor infiltration of inactive CD8 + T cells was associated with poor prognosis in Gastric Cancer
Gastric cancer (GC) shows limited response to immune checkpoint inhibitors due to its complex tumor immune microenvironmen...
Gastric Cancer
comment
0
thumb_up
0
Synergistic effects of dihydroartemisinin and cisplatin on inducing ferroptosis in gastric cancer through GPX4 inhibition
In the past several decades, cisplatin (DDP), in combination with other drugs, has been used as the mainstay chemotherapy ...
Gastric Cancer
comment
0
thumb_up
0
Load More
Modal title
×
Modal title
×
Share
Login
Global News and Health Forum
Join Now!
Member Login
Remember me
Forgot password?
Or using
Linkedin