×
Close
Login
Home
SCI Abstract
Library D
Events & Partner
WeMed
MDLA Events Platform
Events
Media Partners
Educational Partner
User Tools
FAQ/USER GUIDE
Language
English
中文/ Chinese
French
Português
Español
Arabic
Russian
Contact Us
×
Close
mdla_1
mdla_2
mdla_3
mdla_4
mdla_5
mdla_6
Categories
Pediatrics
20799
Global Medical University
4983
Allergy
1699
Anatomy & Morphology
1528
Andrology
379
Anesthesia & Intensive Care
1224
Anesthesiology
5240
Audiology & Speech-Language Pathology
311
Behavioral Sciences
104
Biochemical Research Methods
6740
Biochemistry & Molecular Biology
28859
Biodiversity Conservation
294
Biology
8107
Biophysics
7956
Biotechnology & Applied Microbiology
8053
Cardiac & Cardiovascular Systems
30112
Cardiovascular & Respiratory Systems
1348
Cell & Tissue Engineering
664
Cell Biology
10762
Chemistry, Analytical
4154
Chemistry, Applied
10754
Chemistry, Medicinal
8448
Chemistry, Multidisciplinary
18249
Clinical Immunology & Infectious Disease
397
Clinical Medicine
8736
Clinical Neurology
15936
Clinical Psychology & Psychiatry
1251
Critical Care Medicine
3057
Dentistry, Oral Surgery & Medicine
12739
Dermatology
7353
Developmental Biology
6790
Ecology
631
Education, Scientific Disciplines
1919
Emergency Medicine
3858
Endocrinology, Metabolism & Nutrition
23207
Engineering, Biomedical
3585
Entomology
445
Environmental Medicine & Public Health
4578
Evolutionary Biology
252
Gastroenterology & Hepatology
11541
General & Internal Medicine
6783
Genetics & Heredity
14556
Geriatrics & Gerontology
4845
Gerontology
338
Health Care Sciences & Services
15479
Health Policy & Services
613
Hematology
5371
Immunology
24181
Infectious Diseases
13438
Integrative & Complementary Medicine
2805
Medical Ethics
1194
Medical Informatics
2139
Medical Laboratory Technology
419
Medicine, General & Internal
43503
Medicine, Legal
485
Medicine, Research & Experimental
17190
Microbiology
22533
Mycology
0
Nanoscience & Nanotechnology
5019
Neuroimaging
1248
Neurology
4363
Neurosciences
38345
Nursing
9258
Nutrition & Dietetics
7660
Obstetrics & Gynecology
7932
Oncology
50751
Ophthalmology
9334
Optics
4072
Orthopedics
11209
Orthopedics, Rehabilitation & Sports Medicine
1702
Otolaryngology
1490
Otorhinolaryngology
4683
Parasitology
1066
Pathology
4781
Peripheral Vascular Disease
4510
Pharmacology & Pharmacy
33681
Pharmacology/Toxicology
11854
Physiology
8669
Polymer Science
511
Primary Health Care
791
Psychiatry
18467
Psychology
5005
Psychology, Applied
92
Psychology, Biological
329
Psychology, Clinical
786
Psychology, Developmental
228
Psychology, Educational
143
Psychology, Experimental
133
Psychology, Mathematical
0
Psychology, Multidisciplinary
1576
Psychology, Psychoanalysis
30
Psychology, Social
112
Public Health & Health Care Science
2167
Public, Environmental & Occupational Health
26484
Quantum Science & Technology
0
Radiology, Nuclear Medicine & Imaging
11918
Radiology, Nuclear Medicine & Medical Imaging
7746
Rehabilitation
2873
Remote Sensing
0
Reproductive Biology
2697
Reproductive Medicine
1178
Research/Laboratory Medicine & Medical Technology
3841
Respiratory System
6995
Rheumatology
5660
Social Sciences, Biomedical
1150
Substance Abuse
2647
Surgery
32537
Toxicology
4177
Transplantation
931
Tropical Medicine
300
Urology & Nephrology
12420
Veterinary Sciences
35
Virology
2369
Zoology
0
Channels
PEDIATRIC RESEARCH
1140
Archives of Disease in Childhood Education & Practice
280
NEJM Pediatrics
7
Medrxiv - Pediatrics
572
ARCHIVES OF DISEASE IN CHILDHOOD
586
ARCHIVES OF DISEASE IN CHILDHOOD-FETAL AND NEONATAL EDITION
305
DEVELOPMENTAL MEDICINE AND CHILD NEUROLOGY
193
EUROPEAN CHILD & ADOLESCENT PSYCHIATRY
617
JAMA PEDIATRICS
80
JOURNAL OF PEDIATRICS
44
JOURNAL OF THE AMERICAN ACADEMY OF CHILD AND ADOLESCENT PSYCHIATRY
17
LANCET CHILD & ADOLESCENT HEALTH
0
PEDIATRIC OBESITY
74
SEMINARS IN FETAL & NEONATAL MEDICINE
0
ACADEMIC PEDIATRICS
708
ACTA PAEDIATRICA
350
CHILD AND ADOLESCENT MENTAL HEALTH
61
CHILD AND ADOLESCENT PSYCHIATRY AND MENTAL HEALTH
284
CHILD CARE HEALTH AND DEVELOPMENT
79
CURRENT OPINION IN PEDIATRICS
91
EUROPEAN JOURNAL OF PAEDIATRIC NEUROLOGY
0
EUROPEAN JOURNAL OF PEDIATRIC SURGERY
221
FRONTIERS IN PEDIATRICS
4389
HORMONE RESEARCH IN PAEDIATRICS
212
INTERNATIONAL BREASTFEEDING JOURNAL
213
INTERNATIONAL JOURNAL OF PAEDIATRIC DENTISTRY
152
INTERNATIONAL JOURNAL OF PEDIATRIC OTORHINOLARYNGOLOGY
0
ITALIAN JOURNAL OF PEDIATRICS
428
JOURNAL OF DEVELOPMENTAL AND BEHAVIORAL PEDIATRICS
63
JOURNAL OF PAEDIATRICS AND CHILD HEALTH
333
JOURNAL OF PEDIATRIC AND ADOLESCENT GYNECOLOGY
387
JOURNAL OF PERINATOLOGY
697
NEONATOLOGY
189
NEUROPEDIATRICS
219
PEDIATRIC AND DEVELOPMENTAL PATHOLOGY
51
PEDIATRIC ANESTHESIA
182
PEDIATRIC CRITICAL CARE MEDICINE
226
PEDIATRIC DERMATOLOGY
244
PEDIATRIC NEUROSURGERY
115
PEDIATRIC PULMONOLOGY
340
PEDIATRICS AND NEONATOLOGY
0
PEDIATRICS INTERNATIONAL
339
SEMINARS IN PERINATOLOGY
224
IRANIAN JOURNAL OF PEDIATRICS
24
JOURNAL OF PEDIATRIC HEALTH CARE
16
JOURNAL OF PEDIATRIC SURGERY
19
AJP REPORTS
107
ANNALS OF PEDIATRIC SURGERY
171
CLINICAL MEDICINE INSIGHTS-PEDIATRICS
12
CURRENT PEDIATRIC REVIEWS
25
EGYPTIAN PEDIATRIC ASSOCIATION GAZETTE
157
GLOBAL PEDIATRIC HEALTH
78
INTERNATIONAL JOURNAL OF CHILD HEALTH AND NUTRITION
68
INTERNATIONAL JOURNAL OF PEDIATRICS-MASHHAD
483
IRANIAN JOURNAL OF NEONATOLOGY
170
JOURNAL OF CHILD SCIENCE
108
JOURNAL OF CLINICAL NEONATOLOGY
12
JOURNAL OF PEDIATRIC AND NEONATAL INDIVIDUALIZED MEDICINE
147
JOURNAL OF PEDIATRIC EPILEPSY
53
JOURNAL OF PEDIATRIC INTENSIVE CARE
180
JOURNAL OF PEDIATRIC NEUROLOGY
185
JOURNAL OF PEDIATRICS REVIEW
5
PAEDIATRICA INDONESIANA
191
PEDIATRIC REPORTS
8
EUROPEAN JOURNAL OF PEDIATRICS
1011
INDIAN JOURNAL OF PEDIATRICS
739
INDIAN PEDIATRICS
514
PEDIATRIC CARDIOLOGY
548
PEDIATRIC NEPHROLOGY
697
WORLD JOURNAL OF PEDIATRICS
359
SCI Abstract
search
ALL
RECOMMENDED
+
Insulin resistance in school-age children: comparison surrogate diagnostic markers
This study aimed to identify surrogate markers suitable for evaluating insulin resistance in children and adolescents with...
Pediatric Research
comment
0
thumb_up
0
High-risk infant follow-up: where are we and where to from here?
Diagnosing neurological complications in adults is significantly easier in c...
Pediatric Research
comment
0
thumb_up
0
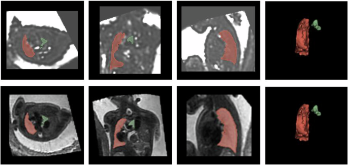
Pulmonary T2* quantification of fetuses with congenital diaphragmatic hernia: a retrospective, case-controlled, MRI pilot study
Advanced MRI techniques, motion-correction and T2*-relaxometry, may provide information regarding functional properties of...
Pediatric Research
comment
0
thumb_up
0
Bronchopulmonary dysplasia induced by hyperoxia attenuated by A GLP-1 analog, Liraglutide, by regulating the ACE-2/Ang(1-7)/Mas receptor pathway
Glucagon-like peptide-1 (GLP-1) shows promise for treating hyperoxia-induced bronchopulmonary dysplasia (BPD), but its mec...
Pediatric Research
comment
0
thumb_up
0
Editor’s Focus
Thank you for visiting nature.com. You are using a browser version with limited support for CSS. To obta...
Pediatric Research
comment
0
thumb_up
0
Correction: Nutrition interventions in the first 1000 days and long-term health outcomes: a systematic review
Open Access This article is licensed under a Creative Commons Attribution 4.0 International License, which...
Pediatric Research
comment
0
thumb_up
0
Family reflections: Kawasaki Disease 30 years after diagnosis; a parent’s perspective
In 2020, Kawasaki Disease (KD) hit the news around the world when children started to present with symptoms that resembled...
Pediatric Research
comment
0
thumb_up
0
Azithromycin for acute bronchiolitis and wheezing episodes in children – a systematic review with meta-analysis
The aim of this systematic review and meta-analysis was to analyse the efficacy of azithromycin in acute bronchiolitis and...
Pediatric Research
comment
0
thumb_up
0
Early life factors and structural brain network in children with overweight/obesity: The ActiveBrains project
The aims of this study were to investigate the association of early life factors, including birth weight, birth length, an...
Pediatric Research
comment
0
thumb_up
0
Impact of fetal inflammatory response on the severity of necrotizing enterocolitis in preterm infants
Neonates born with fetal inflammatory response (FIR) are at increased risk for adverse neonatal outcomes. Our objective wa...
Pediatric Research
comment
0
thumb_up
0
Postnatal steroids as lung protective and anti-inflammatory in preterm lambs exposed to antenatal inflammation
Lung inflammation and impaired alveolarization precede bronchopulmonary dysplasia (BPD). Glucocorticoids are anti-inflamma...
Pediatric Research
comment
0
thumb_up
0
Correction: Advancing brain MRI as a prognostic indicator in hypoxic-ischemic encephalopathy
Department of Neurology, University of California San Francisco, San Francisco, CA, USAYvonne W. Wu & Hannah C. GlassD...
Pediatric Research
comment
0
thumb_up
0
Neonatal resuscitation with vasopressin instead of epinephrine: are we ready to challenge the status quo?
Raju, T. N. History of neonatal resuscitation. Tales of heroism and desperation. Clin. Perinatol. 26, 629–640 (1999). vi–v...
Pediatric Research
comment
0
thumb_up
0
Time-sensitive healthcare guidelines for youth with chronic diseases in custody: gaps in care
On May 9th, 2023, a U.S. Border Patrol detained a family of five near Brownsville, TX. During processing, one of the famil...
Pediatric Research
comment
0
thumb_up
0
Effect of psychostimulant medications on physical function in children with cerebral palsy: scoping review
The aim of this scoping review is to examine the extent and depth of the literature on effects of central nervous system (...
Pediatric Research
comment
0
thumb_up
0
Comorbid asthma is associated with rhinitis severity in children exposed to air pollutants
The impact of asthma on the severity of rhinitis when children with allergic rhinitis (AR) are exposed to air pollutants h...
Pediatric Research
comment
0
thumb_up
0
The impact of anthropogenic climate change on pediatric viral diseases
The adverse effects of climate change on human health are unfolding in real time. Environmental fragmentation is amplifyin...
Pediatric Research
comment
0
thumb_up
0
Neonatal outcomes of maternal prenatal coronavirus infection
The coronavirus disease 2019 (COVID-19) pandemic has led to significant changes in life and healthcare all over the world....
Pediatric Research
comment
0
thumb_up
0
Prenatal phthalate exposure and fetal penile length and width
Phthalates are endocrine-disrupting chemicals with anti-androgenic qualities and studies reported associations between pre...
Pediatric Research
comment
0
thumb_up
0
Maximizing the impact of reach out and read literacy promotion:anticipatory guidance and modeling
Reach Out and Read (ROR) is a multi-component pediatric literacy promotion intervention. However, few studies link ROR com...
Pediatric Research
comment
0
thumb_up
0
Population pharmacokinetics of ciprofloxacin in newborns with early onset neonatal sepsis and suspected meningitis
Neonatal Sepsis accounts for significant proportion of neonatal mortality globally. Ciprofloxacin can be used as an effect...
Pediatric Research
comment
0
thumb_up
0
Applications of the experience sampling method (ESM) in paediatric healthcare: a systematic review
With the Experience Sampling Method (ESM) participants are asked to provide self-reports of their symptoms, feelings, thou...
Pediatric Research
comment
0
thumb_up
0
Postnatal acetaminophen exposure and neurodevelopmental outcomes at 18–21 months corrected gestational age in preterm infants <29 weeks gestation: a retrospective cohort study
Studies have reported prenatal acetaminophen exposure is associated with abnormal neurodevelopment. There is limited and c...
Pediatric Research
comment
0
thumb_up
0
Lessons learned in caring for newborns from one viral outbreak to the next
Funding Dr. Mulkey receives research support from the Eunice Kennedy Shriver National Institu...
Pediatric Research
comment
0
thumb_up
0
Attention-deficit hyperactivity disorder is associated with disordered eating in adolescents
Attention-deficit hyperactivity disorder (ADHD) and disordered eating (DE) are both highly prevalent among adolescents, bu...
Pediatric Research
comment
0
thumb_up
0
Early Career Investigator Biocommentary: Tommy Wood
Dr. Wood is supported by the National Institute of Child Health and Human Development R01HD101422 (PI) and R01HD111440 (MP...
Pediatric Research
comment
0
thumb_up
0
Uteroplacental insufficiency decreases leptin expression and impairs lung development in growth-restricted newborn rats
The study aimed to analyze the effect of uteroplacental insufficiency (UPI) on leptin expression and lung development of i...
Pediatric Research
comment
0
thumb_up
0
Long-term motor activity, cardiopulmonary performance and quality of life in abdominal wall defect patients
To assess whether patients born with an abdominal wall defect (AWD) have impaired cardiorespiratory performance capacity, ...
Pediatric Research
comment
0
thumb_up
0
Diagnostic accuracy and the first genotype–phenotype correlation in glycogen storage disease type V
Glycogen storage disease type V (GSDV) is an autosomal recessive metabolic condition caused by pathogenic PYGM variants. T...
Pediatric Research
comment
0
thumb_up
0
Associations between human milk oligosaccharides and infant growth in a Bangladeshi mother–infant cohort
We aimed to estimate associations between human milk oligosaccharides (HMOs) and infant growth (length-for-age (LAZ) and w...
Pediatric Research
comment
0
thumb_up
0
Load More
Modal title
×
Modal title
×
Share
Login
Global News and Health Forum
Join Now!
Member Login
Remember me
Forgot password?
Or using
Linkedin