Caso Clínico
Carcinoma primario de células transicionales de trompa de Falopio
1Servicio de Obstetricia y Ginecología, Hospital Central “Dr. Urquinaona”, Maracaibo, Venezuela
El carcinoma primario de la trompa de Falopio es poco frecuente entre las neoplasias malignas primarias del tracto genital. Representa aproximadamente el 1% de todas las neoplasias malignas del aparato reproductor femenino y es más frecuente en las mujeres menopáusicas. Una variante histológica muy poco frecuente que puede afectar la trompa de Falopio es el carcinoma primario de células transicionales. Se parece al cáncer epitelial de ovario desde el punto de vista histológico y clínico. Sin embargo, las pacientes suelen presentar síntomas inespecíficos. El diagnóstico preoperatorio es difícil debido a la falta de elementos concretos para ello y a que rara vez se le considera en el preoperatorio. Generalmente el diagnóstico suele basarse en los hallazgos histopatológicos. En comparación con el adenocarcinoma típico de las trompas de Falopio, es probable que este carcinoma no sea tan agresivo, tenga una mejor respuesta a la quimioterapia y un buen pronóstico en comparación con el carcinoma epitelial de ovario. Es importante tener en cuenta los tumores primarios de las trompas de Falopio en el diagnóstico diferencial de las tumoraciones pélvicas. Se presenta un caso de carcinoma primario de células transicionales de la trompa de Falopio.
Palabras clave: Carcinoma de células transicionales; Trompa de Falopio; carcinoma
Introducción
El carcinoma primario de trompa de Falopio es la neoplasia ginecológica menos común. Representa aproximadamente el 1% de las neoplasias malignas del aparato reproductor femenino. El tipo histológico maligno más común es el adenocarcinoma, que representa el 90% de los casos1. El sarcoma y los carcinomas de células claras, de células escamosas, endometrioide, transicional y de células mixtas son otros tipos histológicos menos comunes2.
El carcinoma primario de células transicionales de trompa de Falopio es una variante histológica rara que suele aparecer en mujeres menopáusicas, habiéndose documentado aproximadamente 25 casos en la literatura. Su origen es tema de investigación y debate entre los expertos. Se han propuesto varias teorías, pero no existe una explicación definitiva3. La tumoración abdominal o pélvica, la hemorragia vaginal, el dolor abdominal y la ascitis son las manifestaciones clínicas más comunes4. Debido a que los signos y síntomas son inespecíficos, es muy difícil realizar un diagnóstico preoperatorio. La mayoría de los casos necesitan tratamiento quirúrgico junto con quimioterapia adyuvante3. Se presenta un caso de carcinoma primario de células transicionales de trompa de Falopio.
Comunicación del Caso
Una paciente de 65 años, nuligesta, acudió a la consulta de ginecología por presentar tumoración anexial durante una evaluación ecográfica de rutina. Negaba haber presentado sangrado genital, pérdida de peso, dolor o distensión abdominal, problemas gastrointestinales o síntomas urinarios. Refería amenorrea desde los 49 años y había sido diagnosticada con hipertensión arterial crónica hace 20 años, la cual estaba siendo tratada con enalapril. Negaba antecedentes de hábito tabáquico, consumo de alcohol o sustancias ilícitas y enfermedades crónicas o neoplásicas en su familia.
Al examen físico aparecía en buenas condiciones generales, afebril e hidratada. La escala de valoración funcional Eastern Cooperative Oncology Group (ECOG) fue 0. Los signos vitales estaban dentro de los límites normales. No se encontraron tumores durante la exploración abdominal. No obstante, el examen ginecológico reveló la existencia de un útero hipoplásico con un tumor en el anexo derecho de consistencia variable y movilidad limitada, con diámetro de alrededor de 8 centímetros. No se evidenció la tumoración en el fondo de saco de Douglas durante el tacto rectal. No se halló edemas ni linfadenopatías locales.
La ecografía pélvica mostró una tumoración heterogénea, principalmente sólida, con bordes irregulares cerca del ovario derecho y en la cara posterolateral derecha del útero, que medía 24 x 22 x 20 milímetros. Fue difícil determinar su origen porque los anexos y el útero presentaban cambios atróficos asociados con la edad. La vejiga también aparecía normal, sin cálculos. La presencia de flujo sanguíneo fue evidente en la ecografía Doppler color (figura 1). No se encontró evidencia de ascitis o metástasis. La resonancia magnética pélvica reveló una lesión sólido-quística redonda bien definida de 3 x 2 x 2 centímetros en el anexo derecho y mínima cantidad de líquido libre en el fondo de saco de Douglas. La radiografía del tórax no mostró alteraciones. Los hallazgos de la citología vaginal eran compatibles con cambios atróficos y negativos para malignidad.

Figura 1 imagen ecográfica de anexo derecho. a) tumor anexial globular y heterogéneo solido-quístico. b) vascularización del tumor anexial derecho.
Los resultados de la hematología completa, el funcionalismo renal y hepático, exámenes de orina y los electrolitos estaban todos dentro de los límites normales. El panel de marcadores tumorales mostró valores de CA-125 de 119 UI/mL (valor normal menor de 35 U/mL). Las concentraciones de alfafetoproteína, gonadotropina coriónica humana, CA19-9 y antígeno carcinoembrionario estaban dentro de límites normales. Los resultados llevaron a la decisión de realizar una laparotomía exploratoria ante la posibilidad de una neoplasia maligna de ovario.
Durante el procedimiento, se encontró que la trompa de Falopio derecha estaba aumentada de tamaño, era de forma alargada, superficie irregular, con predominio de áreas sólidas y áreas quísticas y de consistencia frágil. Estaba adherida en forma parcial a la pared uterina sin evidencia de infiltración. No se halló alteraciones morfológicas en el ovario derecho. El ovario y la trompa izquierda y el útero no mostraron alteraciones macroscópicas. No había ganglios pélvicos ni paraaórticos agrandados. No se encontraron depósitos evidentes en las superficies peritoneales del fondo de saco de Douglas, hígado, epiplón o diafragma. No se halló líquido ascítico en la cavidad abdominopélvica. La sección congelada intraoperatoria del tumor fue informada como tumor epitelial maligno, por lo que se realizó resección del tumor, histerectomía abdominal total, ooforosalpingectomía bilateral, apendicetomía, omentectomía infracólica, linfadenectomía pélvica bilateral y paraaórtica, múltiples biopsias en peritoneo y lavado peritoneal.
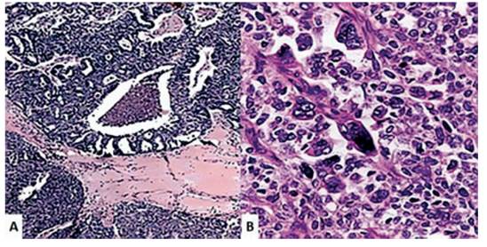
El estudio anatomopatológico reveló que la trompa de Falopio derecha presentaba una tumoración principalmente sólida con superficie de 7 x 5 x 4 cm entre la ampolla y el istmo. Varios quistes de paredes finas de 0,5 a 20 milímetros cubrían su superficie (figura 2). La fimbria tenía consistencia blanda a gomosa con luz ocluida por una zona grisácea-azulada, sin presencia de tumores. Al examen microscópico, el tumor mostraba un patrón de crecimiento papilar amplio con septos fibrosos, nidos y papilas celulares poligonales atípicas, así como espacios microquísticos perforados y áreas de necrosis en parches (figura 3). Además, los núcleos de las células tumorales tenían surcos nucleares prominentes con más de 20 mitosis por 10 campos de alta potencia. No hubo evidencia de células tumorales en el líquido de lavado peritoneal. La tinción inmunohistoquímica mostró una señal positiva para CK7 y el antígeno de la membrana epitelial, mientras que la tinción fue negativa para p53, CK20 y p63. Los hallazgos histológicos confirmaron el diagnóstico de carcinoma primario de células transicionales de trompa de Falopio.

Figura 2 tumor en trompa derecha que muestra lesión heterogénea, principalmente sólida.

Figura 3 imágenes de anatomía patológica del carcinoma de células transicionales de la trompa de falopio. a) células neoplásicas que forman laminas y trabéculas y áreas de necrosis en parche (coloración hematoxilina-eosina, 40x). b) células poligonales atípicas formando nidos y papilas (coloración hematoxilina-eosina, 400x).
La paciente fue dada de alta a los cuatro días de la intervención, sin complicaciones. Recibió seis ciclos de quimioterapia adyuvante con paclitaxel y carboplatino. Al final del tratamiento, las concentraciones de CA-125 eran inferiores a 35 UI/L. No se halló evidencia de enfermedad en las imágenes de tomografía abdomino-pélvica. Actualmente está siendo monitoreada por el servicio de oncología médica.
Discusión
Debido a una serie de factores, el carcinoma primario de trompa de Falopio suele ser diagnosticado erróneamente como carcinoma de ovario en el preoperatorio. Estas dificultades son causadas por la baja frecuencia de la condición y las características clínicas inespecíficas. El único factor de riesgo reconocido es la mutación germinal de BRCA4. La mayoría de las pacientes con carcinoma de las trompas de Falopio son menopáusicas. El carcinoma tubárico es más común en las nulíparas2,5.
Debido a su mejor pronóstico y respuesta a la quimioterapia, el carcinoma de células transicionales de la trompa de Falopio es un subtipo histológico poco frecuente que debe distinguirse de los demás subtipos. La forma es similar a la de los tumores uroteliales6. Este tumor podría ser consecuencia de metaplasia de células transicionales de la serosa tubárica o del epitelio de la mucosa. Las causas posibles incluyen metaplasia de quiste paratubárico o de nidos celulares de Walthard5. Las pacientes con estos tumores tienen una mediana de edad de 56 años (intervalo de 41 a 79 años)3).
El diagnóstico de tumores anexiales es complejo e implica características clínicas, hallazgos ecográficos y marcadores tumorales. Cada parámetro individual es inespecífico y puede estar ausente7. Debido a los síntomas no específicos y al bajo índice de sospecha debido a su rareza, el diagnóstico preoperatorio de los tumores tubáricos suele ser una tarea difícil, con una tasa de diagnóstico preoperatorio notificada de 2%1). Entre 50% y 60% de las pacientes con neoplasias malignas primarias de trompas de Falopio experimentan sangrado o hemorragia vaginal, tumoración abdominal y/o pélvica y 30% a 40% dolor abdominal. Solo en 15% de los casos se ha descrito la tríada de síntomas de Latzke, que consiste en flujo vaginal serosanguinolento profuso intermitente, tumor abdominal y dolor abdominal o pélvico4).
La ecografía es útil para detectar tumores tubáricos. No obstante, cuando son detectadas, otras modalidades de imágenes como la tomografía computarizada y la resonancia magnética no son útiles para establecer el diagnóstico8. En pacientes con carcinomas primarios de trompas de Falopio, las concentraciones pretratamiento de CA-125 son un indicador independiente de la supervivencia libre de enfermedad y la supervivencia global. Por otra parte, la evidencia actual sugiere que podría ser útil para monitorizar la respuesta al tratamiento y detectar recurrencias. Sin embargo, su valor como factor pronóstico independiente aún no está claro. Son necesarias más investigaciones con muestras mayores y buen diseño para comprender mejor la relación del CA-125 con el pronóstico del carcinoma de trompa de Falopio8.
Los casos de carcinomas primarios de trompa de Falopio pueden presentar citología cervical anormal que indica adenocarcinoma entre 0% y 23%9). Sin embargo, se ha comunicado un único caso de diagnóstico de carcinoma de células transicionales de las trompas de Falopio a partir de la citología cervical10.
Para establecer el curso clínico, predecir el pronóstico y, posiblemente, mejorar el tratamiento, es esencial realizar un diagnóstico preciso y diferenciar el carcinoma primario de trompa de Falopio de las lesiones que aparecen desde el ovario ipsilateral por extensión directa o desde el ovario contralateral por vía transcelómica. El diagnóstico definitivo es realizado mediante los hallazgos histológicos. Los criterios para diferenciarlos de los tumores ováricos incluyen: el tumor surge del endosálpinx con un patrón histológico que reproduce el epitelio de la mucosa tubárica, presentan transición del epitelio benigno al maligno y el ovario no presenta invasión o tiene un tumor más pequeño que el de la trompa de Falopio11.
El tratamiento para el carcinoma primario de células transicionales de trompa de Falopio es la cirugía con posterior quimioterapia adyuvante. La laparotomía de estadificación es el tipo de intervención recomendado. Es necesario realizar la linfadenectomía pélvica y paraaórtica en pacientes con carcinomas primarios de trompa de Falopio porque se ha demostrado que, en comparación con el cáncer de ovario epitelial, presentan mayores tasas de metástasis retroperitoneales y ganglionares a distancia12.
El carcinoma de células transicionales se encuentra entre los subtipos con buena respuesta a la quimioterapia adyuvante13. Los casos con tumores de estadio I sin factores de riesgo tienen una supervivencia del 100% a los 5 años y no requieren quimioterapia adicional. Por el contrario, se requiere quimioterapia adyuvante para pacientes en estadio I con factores de riesgo (como invasión de la capa muscular o tumor en la fimbria) y estadios superiores12,14. A los dos años, los casos con carcinoma primario de células transicionales de trompa de Falopio tienen un mejor pronóstico de supervivencia global. Además, comparado con otros carcinomas primarios de trompa de Falopio, su tasa de recaída es más tardía(15).
El carcinoma primario de trompas de Falopio está siendo tratado cada vez más con una combinación de quimioterapia adyuvante, que consiste en carboplatino y paclitaxel, utilizados en el carcinoma epitelial de ovario16. Las pacientes con tumores de estadio I sin factores de riesgo tienen una supervivencia del 100% a los 5 años y no requieren quimioterapia adicional. Por el contrario, se requiere quimioterapia adicional para pacientes con factores de riesgo (como invasión de la capa muscular o tumor en la fimbria) y estadios superiores12,14.
En conclusión, el carcinoma primario de las trompas de Falopio representa menos del 1% de todos los cánceres del tracto genital femenino. El carcinoma primario de células transicionales de trompa de Falopio es un tumor raro y maligno, cuya clasificación preoperatoria es difícil y el diagnóstico definitivo depende de los hallazgos patológicos. No obstante, tiene mejor respuesta a la quimioterapia y buen pronóstico comparado con el carcinoma ovárico epitelial. Este tumor debe ser considerado entre los diagnósticos diferenciales de tumores anexiales.
Referencias Bibliográficas
1. Mouna H, Fedoua W, Houssine B, Mahdaoui S, Naïma S. Primary fallopian tube adenocarcinoma: A case report and review of the literature. Int J Surg Case Rep. 2022;98:107555. doi: 10.1016/j.ijscr.2022.107555 [ Links ]
2. Babu MR, Haji AG, Chitrathara K, Vijaykumar DK, Samanta J, Hiran KR. Primary transitional cell carcinoma of the fallopian tube in a premenopausal woman: A case report and review of literature. Indian J Med Paediatr Oncol. 2009;30(1):35-8. doi: 10.4103/0971-5851.56335 [ Links ]
3. Lee DH, Cho DH, Kim KM, Yim CY, Lee NR. Primary transitional cell carcinoma of the fallopian tube: A case report and literature review. Medicine (Baltimore). 2020;99(22):e20499. doi: 10.1097/MD.0000000000020499 [ Links ]
4. Kim JW, Cho EM, Kim YT, Han JH. A case of primary transitional cell carcinoma of the fallopian tube. J Obstet Gynaecol Res. 1999;25(5):321-6. doi: 10.1111/j.1447-0756.1999.tb01170.x [ Links ]
5. Sisodia RC, Del Carmen MG. Lesions of the Ovary and Fallopian Tube. N Engl J Med. 2022;387(8):727-36. doi: 10.1056/NEJMra2108956 [ Links ]
6. Kaur A, Singh J, Bansal R, Kaur R, Bansal M, Kaur P. Transitional cell carcinoma: a case report with clinical, histological and cytological findings. J Clin Diagn Res. 2013;7(12):2954-5. doi: 10.7860/JCDR/2013/6070.3804 [ Links ]
7. Paner GP, Gonzalez M, Al-Masri H, Smith DM, Husain AN. Parafallopian tube transitional cell carcinoma. Gynecol Oncol. 2002;86(3):379-83. doi: 10.1006/gyno.2002.6777 [ Links ]
8. Akbarzadeh-Jahromi M, Heidari M, Safaei A, Samsami A. Primary transitional cell carcinoma of fallopian tube mimicking radiologically as extrauterine leiomyoma: A Case Report. Int J Cancer Manag. 2018; 11(3):e57694. doi: 10.5812/ijcm.57694 [ Links ]
9. Abdalla N, Wnuk A, Trojanowski S, Jakimiuk A, Stanirowski P, Cendrowski K, et al. Presurgical diagnostic difficulties in an asymptomatic patient with primary transitional cell carcinoma of the oviduct: case report. Prz Menopauzalny. 2018;17(2):91-3. doi: 10.5114/pm.2018.77309 [ Links ]
10. Gupta N, Srinivasan R, Nijhawan R, Dhaliwal LK. Primary fallopian tubal transitional cell carcinoma with exfoliation of malignant cells in cervical Pap smear. Cytojournal. 2005;2:20. doi: 10.1186/1742-6413-2-20 [ Links ]
11. Kontomanolis EN, Koutras A, Ntounis T, Diakosavvas M, Angelou K, Samara AA, et al. Primary fallopian tube cancer in an 89-year-old patient. Case Rep Obstet Gynecol. 2021;2021:2870057. doi: 10.1155/2021/2870057 [ Links ]
12. Vaysse C, Touboul C, Filleron T, Mery E, Jouve E, Leguevaque P, et al. Early stage (IA-IB) primary carcinoma of the fallopian tube: case-control comparison to adenocarcinoma of the ovary. J Gynecol Oncol. 2011;22(1):9-17. doi: 10.3802/jgo.2011.22.1.9 [ Links ]
13. Babu MR, Haji AG, Chitrathara K, Vijaykumar DK, Samanta J, Hiran KR. Primary transitional cell carcinoma of the fallopian tube in a premenopausal woman: A case report and review of literature. Indian J Med Paediatr Oncol. 2009;30(1):35-8. doi: 10.4103/0971-5851.56335 [ Links ]
14. Alvarado-Cabrero I, Young RH, Vamvakas EC, Scully RE. Carcinoma of the fallopian tube: a clinicopathological study of 105 cases with observations on staging and prognostic factors. Gynecol Oncol. 1999;72(3):367-79. doi: 10.1006/gyno.1998.5267 [ Links ]
15. Uehira K, Hashimoto H, Tsuneyoshi M, Enjoji M. Transitional cell carcinoma pattern in primary carcinoma of the fallopian tube. Cancer. 1993;72(8):2447-56. doi: 10.1002/1097-0142(19931015)72:82447::aid-cncr28207208243.0.co;2-2 [ Links ]
16. Berek JS, Renz M, Kehoe S, Kumar L, Friedlander M. Cancer of the ovary, fallopian tube, and peritoneum: 2021 update. Int J Gynaecol Obstet. 2021;155 Suppl 1(Suppl 1):61-85. doi: 10.1002/ijgo.13878 [ Links ]
Comments (0)