Caso Clínico
Reducción fetal en un embarazo múltiple y parto asincrónico del segundo gemelo
1Médico Ginecólogo Obstetra, Instituto de Medicina Reproductiva, Clínica Ricardo Palma, Lima, Perú
El parto diferido o parto asincrónico es poco frecuente en los embarazos múltiples. Cuando el nacimiento del primer gemelo ocurre antes de las 20 a 26 semanas, el parto diferido del segundo gemelo es una opción terapéutica que permite incrementar la edad gestacional para alcanzar la viabilidad, madurez pulmonar y la supervivencia. Se presenta un caso clínico de parto diferido del segundo gemelo, en el que el primer parto fue a las 24+1/7 semanas y el segundo a las 34+2/7 semanas de gestación, prolongando el embarazo por 73 días y teniendo como resultado un recién nacido pretérmino de 2,150 g.
Palabras clave: Embarazo gemelar; Parto obstétrico; Complicaciones del trabajo de parto; Nacimiento prematuro
Introducción
Los embarazos múltiples tienen mayor incidencia en tratamientos de reproducción asistida. Cuando se decide por la inseminación artificial (IA), se recomienda realizar una estimulación ovárica leve que favorezca el desarrollo de uno o dos folículos. Así mismo, en la fertilización in vitro (FIV) o la microinyección intracitoplasmática de espermatozoides (ICSI) se aconseja la transferencia de un solo embrión para disminuir la probabilidad de gestaciones múltiples1 y de morbimortalidad materna y perinatal2. Estos tipos de embarazos suelen tener complicaciones fetales asociadas a parto pretérmino restricción del crecimiento intrauterino, riesgo aumentado de anomalías cromosómicas en función al número de fetos3.
El primer caso de parto diferido (PD) fue comunicado en 18804. En la actualidad, continúa siendo un desafío para los obstetras. Los criterios clínicos que debe cumplir un PD son: gestación gemelar bicorial biamniótica o monocorial biamniótica, nacimiento del primer feto por parto, membranas amnióticas íntegras del feto retenido, ausencia de alteraciones asociadas como el desprendimiento de placenta, placenta previa, corioamnionitis, preeclampsia, anomalías congénitas y, además, un bienestar fetal normal5,6.
Se presenta el caso clínico de un PD en un embarazo gemelar bicorial biamniótico, con el nacimiento del primer feto óbito a las 24+1/7 semanas de gestación y portador de una aneuploidía, y la prolongación de la vida intrauterina del segundo feto por 73 días hasta su nacimiento a las 34+2/7 semanas de edad gestacional y con un peso al nacer de 2,150 g.
Caso Clínico
Una paciente de 36 años con infertilidad fue sometida a tratamiento de reproducción asistida por inseminación artificial. Durante la estimulación ovárica con gonadotrofina desarrolló tres folículos de 16 a 18 mm. A las 6 semanas se observó la presencia de dos sacos gestacionales en la cavidad uterina. En la ecografía genética a las 12+1/7 semanas, el feto A estaba ubicado en el lado materno derecho y tenía una translucencia nucal de 3,9 mm, con alto riesgo para aneuploidías. La translucencia nucal del feto B, ubicado en el lado materno izquierdo, midió 2,1 mm, normal. Debido a los hallazgos, se solicitó la prueba de ADN fetal en sangre materna que resultó positiva para trisomía 21, sin que se determinara cuál era el feto afectado con la aneuploidía.
En una clínica en los Estados Unidos de Norteamérica, se practicó en la paciente dos amniocentesis a las 20+3/7 semanas para hacer el estudio genético por hibridación de fluorescencia in situ (FISH), cuyo resultado fue positivo para trisomía 21 en el feto A (femenino) y normal en el feto B (varón). Posteriormente, y con consentimiento informado, se realizó la reducción fetal selectiva del feto afectado bajo control ecográfico con un transductor de 3,5 MHz. Con guía y aguja de 20G de 4 pulgadas se inyectó 4 mL de 2 mEq/mL de cloruro de potasio en el tórax del feto, que presentó asistolia sin retorno de la actividad cardiaca por un minuto. Se retiró la aguja y finalizó el procedimiento mencionado.
Aproximadamente 1 mes después, la gestante acudió al servicio de emergencias con 24+1/7 semanas por presentar contracciones uterinas dolorosas, sangrado y pérdida de líquido amniótico amarillento por vía vaginal. Al examen ginecológico, se evidenció la dilatación del cérvix a 3 cm, a través del cual se tocaban partes fetales. Se informó a la paciente que estaba en trabajo de parto prematuro y se le explicó las ventajas de prolongar la gestación del segundo gemelo hasta alcanzar la maduración fetal. Tras dar su consentimiento informado se procedió a realizar en sala de partos asepsia con clorhexidina al 1%, naciendo un óbito fetal de 257 g con maceración severa. Se ligó el cordón umbilical con hilos de seda 1-0 lo más cercano a la placenta. El segundo feto permaneció en la cavidad uterina.
La ecografía obstétrica abdominal de control evidenció un feto en presentación podálica con bienestar normal. Por ecografía transvaginal, la longitud del cérvix era de 2,8 cm con dilatación del orificio cervical interno, cuyo vértice estaba en el canal cervical (figura 1). En un control ecográfico posterior se observó la retracción cervical, con una longitud del cérvix de 2,5 cm y el orificio cervical interno cerrado.

Figura 1 ecografía transvaginal a las 24 semanas de gestación, donde se evidenció cuña cervical con dilatación del orificio cervical interno y protrusión de las membranas por el orificio cervical externo.
La paciente permaneció hospitalizada para monitoreo del hemograma, proteína C reactiva (PCR), cultivos, ecografías y cardiotocografías, además de tratamiento con antibióticos endovenosos -cefazolina 2 g cada 24 horas y clindamicina 60 mg cada 12 horas-, que fueron suspendidos a las 3 semanas luego de la normalización del hemograma y PCR. El valor más alto de los leucocitos fue de 17,4 x 109/L y PCR de 11,7 mg/L, que luego se normalizaron (tabla 1).
Tabla 1 promedios semanales de proteína c reactiva y leucocitos observados durante las últimas 10 semanas de gestación.
			
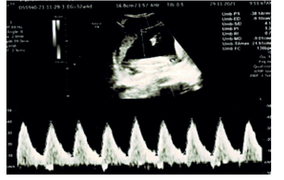
Al persistir las contracciones uterinas, se administró el tocolítico atosibán 7,5 mg/mL por dos ciclos vía endovenosa y se continuó con nifedipino (Adalat) 10 mg cada 8 horas por vía oral. También se prescribió progesterona 200 mg 2 óvulos vaginales hasta el final del embarazo. Para la maduración pulmonar se indicó betametasona 12 mg por vía intramuscular, por dos días en las semanas 24, 28 y 33. Para la protección neurológica se administró sulfato de magnesio 4 g por vía endovenosa. En las evaluaciones ecográficas realizadas cada 2 semanas se observó biometría y crecimiento fetal adecuado para la edad gestacional. El índice de líquido amniótico (ILA) y el Doppler de las arterias umbilicales y cerebral media fueron normales (figura 2). La valoración del bienestar fetal por cardiotocografía realizados diariamente y luego dos por semana, mostraron trazos reactivos.

Figura 2 ecografía doppler fetal de la arteria umbilical a las 32 semanas. el índice de pulsatilidad (ip) fue normal.
A las 34+2/7 semanas de gestación, el feto con madurez pulmonar y riesgo quirúrgico normal, previo consentimiento informado se programó una cesárea, en la que se obtuvo recién nacido varón prematuro con Apgar 9/9 y peso de 2,150 g. La evolución del binomio madre-niño fue favorable, sin presentar otras complicaciones y con alta al tercer día.
Discusión
En las gestaciones múltiples es de gran importancia el estudio genético prenatal para el diagnóstico temprano de aneuploidías y anomalías estructurales7,8. Así mismo, el parto diferido tiene como objetivo principal incrementar la edad gestacional del segundo gemelo, para el aumento de su peso y, sobre todo, la madurez pulmonar, factor predictor más importante de supervivencia neonatal. La edad gestacional en el momento del nacimiento del primer feto es un factor determinante para estimar la supervivencia del segundo feto, la misma que, antes de las 21 semanas equivale a 0%, entre las 21 y 24+6/7 semanas a 17 a 33%, entre las 25 y 27+6/7 semanas 21 a 78% y después de las 28 semanas a 100%9). Por lo tanto, el PD se asocia con mejor resultado perinatal si el nacimiento del primer feto es después de las 25 semanas. De la misma manera, una semana de prolongación del PD se asocia con un aumento de peso al nacer de 115 a 147 g10,11.
En el manejo del PD hay complicaciones que pueden surgir durante y después del procedimiento, siendo las más frecuentes la morbilidad materna grave en el 39%, corioamnionitis, sepsis, coagulación intravascular diseminada, desprendimiento o retención de la placenta en 31%, histerectomía posparto, entre otras12. Con relación al cerclaje cervical en pacientes con PD, hay controversias. Algunos indican que incrementa el riesgo de corioamnionitis. Sin embargo, al comparar grupos de PD con o sin cerclaje, no se ha encontrado diferencia en infecciones y en las pacientes con cerclaje se incrementó el intervalo entre los partos13. En el presente caso, se decidió no realizar el cerclaje cervical por la reducción de la dilatación y la retracción del cérvix, así como por el alto riesgo de desarrollar corioamnionitis debido a tres amniocentesis previas.

Figura 3 (a) placenta con cordón umbilical del feto con 34+2/7 semanas y peso de 450 g. (b) placenta con autolisis severa y sin cordón umbilical del feto de 24+1/7 semanas con peso de 100 g.
Se concluye que la baja incidencia de casos en los que se realiza el PD no debería ser un obstáculo para conseguir los beneficios de este, tanto para la madre como para el recién nacido. Así mismo, se debería valorar la utilidad de la prescripción de tocolíticos y/o antibióticos, de procedimientos como amniocentesis y cerclaje cervical, del manejo ambulatorio u hospitalario para establecer protocolos y/o guías de manejo óptimo del PD. Lo ideal es evitar la gestación múltiple en la IA con el desarrollo de uno o dos folículos maduros, y en la FIV e ICSI realizar la transferencia de un embrión euploide.
Referencias Bibliográficas
1. Gleicher N, Oleske DM, Tur-Kaspa I, Vidali A, Karande V. Reducing the Risk of High-Order Multiple Pregnancy after Ovarian Stimulation with Gonadotropins. N Engl J Med. 2000 Jul 6;343(1):2-7. DOI: 10.1056/NEjm2000070634330101 [ Links ]
2. Glujovsky D, Quinteiro Retamar AM, Alvarez Sedo CR, Ciapponi A, Cornelisse S, Blake D. Cleavage-stage versus blastocyst-stage embryo transfer in assisted reproductive technology. Cochrane Database Syst Rev [Internet]. 2022 May 19;2022(6). DOI: 10.1002/14651858.CD002118.pub6 [ Links ]
3. Penzias A, Bendikson K, Butts S, Coutifaris C, Fossum G, Falcone T, et al. Guidance on the limits to the number of embryos to transfer: a committee opinion. Fertil Steril [Internet]. 2017 Apr;107(4):901-3. DOI: 10.1016/j.fertnstert.2017.02.107 [ Links ]
4. Carson JCL. Obstetric Memoranda: Twins born with an interval of forty-four days. BMJ. 1880 Feb 14;1(998):242. https://www.scirp.org/reference/referencespapers?referenceid=3401686 [ Links ]
5. Magdaleno-Dans F, López-Magallón S, Sancha-Naranjo M, De la Calle M, Bartha José L. [Asynchronous twin births. Case report and obstetric management review]. Ginecol Obstet Mex [Internet]. 2016 Jan;84(1):53-9. PMD: 27290847 [ Links ]
6. Hernández Martínez AM, Flores Noriega ML. Parto asincrónico en un embarazo gemelar. Primer reporte de caso en el Perú. Rev peru ginecol obstet. 2022 Feb 24;68(1). doi.org/10.31403/rpgo.v68i2390 [ Links ]
7. Arabin B, van Eyck J. Delayed-interval delivery in twin and triplet pregnancies: 17 years of experience in 1 perinatal center. Am J Obstet Gynecol. 2009 Feb;200(2):154.e1-154.e8. DOI: 10.1016/j.ajog.2008.08.046 [ Links ]
8. Abdelazim I, Shikanova S. Abdelazim and Shikanova suggested protocol of Ain Shams and West Kazakhstan Universities for management of delayed-interval delivery of the second twin: Case report. J Fam Med Prim Care. 2019 Mar;8(3):1276-8. DOI: 10.4103/jfmpc.jfmpc.5_19 [ Links ]
9. Cheung KW, Seto MTY, Wang W, Lai CWS, Kilby MD, Ng EHY. Effect of delayed interval delivery of remaining fetus(es) in multiple pregnancies on survival: a systematic review and meta-analysis. Am J Obstet Gynecol. 2020 Apr;222(4):306-319. e18. DOI: 10.1016/j.ajog.2019.07.046 [ Links ]
10. Khalil A, Rodgers M, Baschat A, Bhide A, Gratacos E, Hecher K, et al. ISUOG Practice Guidelines: role of ultrasound in twin pregnancy. Ultrasound Obstet Gynecol. 2016 Feb;47(2):247-63. DOI: 10.1002/uog.15821 [ Links ]
11. Fayad S, Bongain A, Holhfeld P, Janky E, Durand-Réville M, Ejnes L, et al. Delayed delivery of second twin: a multicentre study of 35 cases. Eur J Obstet Gynecol Reprod Biol. 2003 Jul;109(1):16-20. DOI: 10.1016/s0301-2115(2)00430-X [ Links ]
12. Feys S, Jacquemyn Y. Delayed-interval delivery can save the second twin: evidence from a systematic review. Facts Views Vis Obgyn. 2016 Dec;8(4):223-31. PMID:28210482; PMCID: PMC5303700 [ Links ]
13. Doger E, Cakiroglu Y, Ceylan Y, Kole E, Ozkan S, Caliskan E. Obstetric and neonatal outcomes of delayed interval delivery in cerclage and non-cerclage cases: An analysis of 20 multiple pregnancies. J Obstet Gynaecol Res. 2014 Jul 23;40(7):1853-61. DOI: 10.1111/jog.12435 [ Links ]
Comments (0)